Екатеринбург, цвергшнауцер Бэст, 8 мес

Краткая ветеринарная информация по подопечным Фонда помощи шнауцерам (выжимка без обсуждений)

Модератор: Модераторы регистратуры

Ответить
  • Автор
  • Сообщение
Не в сети
Аватара пользователя
Сообщения: 12268
Зарегистрирован: 02 ноя 2017, 12:27
Откуда: Санкт-Петербург
Благодарил (а): 6153 раза
Поблагодарили: 23436 раз

Екатеринбург, цвергшнауцер Бэст, 8 мес

Сообщение friedlein »

Основная тема здесь https://pet-help.ru/forum/viewtopic.php ... 11#p508511
Найден с переломом плеча.
Пцр на пирик отрицательный.
Вложения
IMG-20250623-WA0001.jpg
IMG-20250623-WA0002.jpg
IMG-20250623-WA0003.jpg
IMG-20250623-WA0004.jpg
IMG_20250624_111123.jpg
IMG_20250624_111403.jpg
IMG_20250624_111328.jpg
IMG-20250624-WA0009.jpg
_________________
Добрым словом и пистолетом можно добиться гораздо большего, чем просто добрым словом.

Не в сети
Аватара пользователя
Сообщения: 12268
Зарегистрирован: 02 ноя 2017, 12:27
Откуда: Санкт-Петербург
Благодарил (а): 6153 раза
Поблагодарили: 23436 раз

Re: Екатеринбург, цвергшнауцер Бэст, 8 мес

Сообщение friedlein »

Сердце
Вложения
IMG-20250624-WA0024.jpg
IMG-20250624-WA0021.jpg
IMG-20250624-WA0022.jpg
IMG-20250624-WA0023.jpg
_________________
Добрым словом и пистолетом можно добиться гораздо большего, чем просто добрым словом.

Не в сети
Аватара пользователя
Сообщения: 12268
Зарегистрирован: 02 ноя 2017, 12:27
Откуда: Санкт-Петербург
Благодарил (а): 6153 раза
Поблагодарили: 23436 раз

Re: Екатеринбург, цвергшнауцер Бэст, 8 мес

Сообщение friedlein »

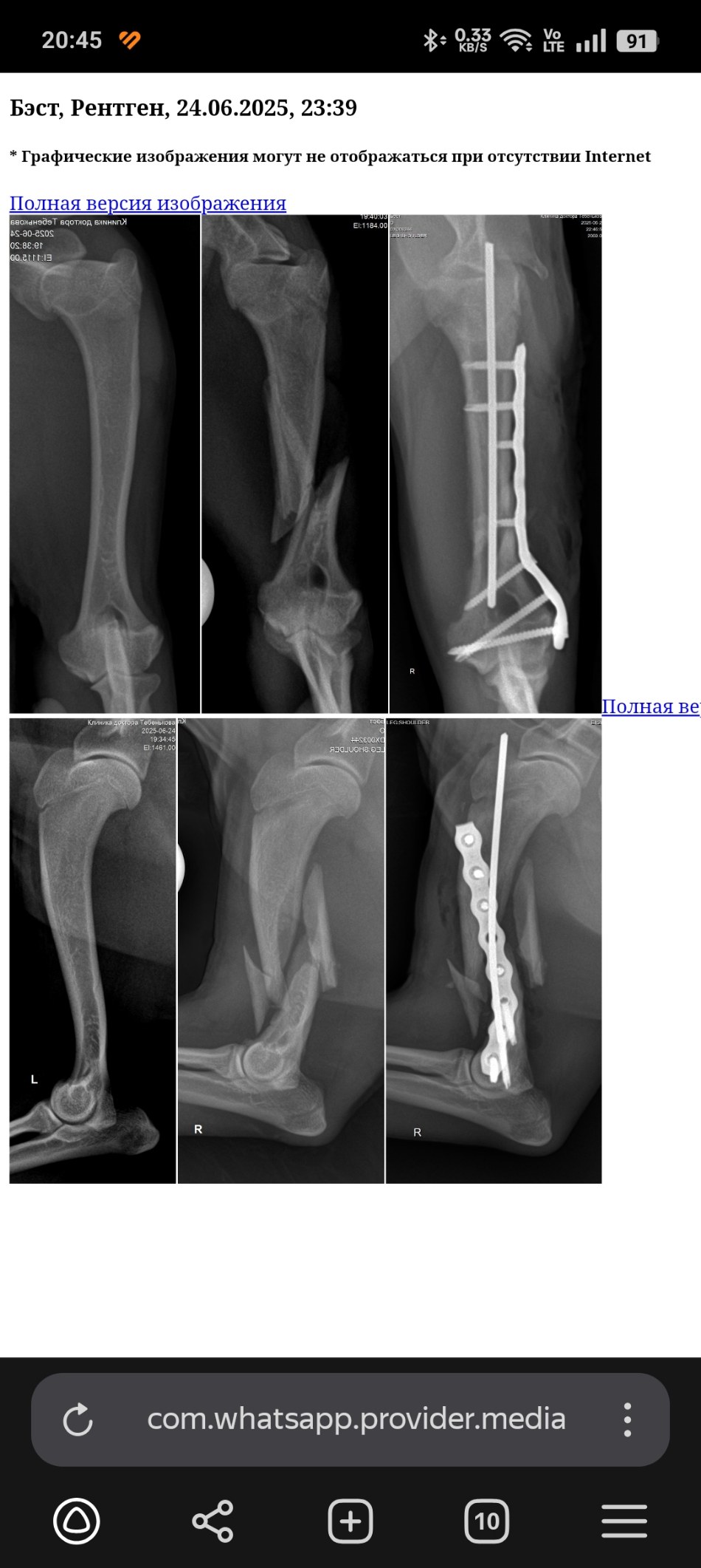
Рентген до и после
Вложения
Screenshot_2025-06-25-20-45-40-45_21da60175e70af211acc4f26191b7a77.jpg
_________________
Добрым словом и пистолетом можно добиться гораздо большего, чем просто добрым словом.

Не в сети
Аватара пользователя
Сообщения: 12268
Зарегистрирован: 02 ноя 2017, 12:27
Откуда: Санкт-Петербург
Благодарил (а): 6153 раза
Поблагодарили: 23436 раз

Re: Екатеринбург, цвергшнауцер Бэст, 8 мес

Сообщение friedlein »

Узи сердца и выписка после операции
Вложения
IMG-20250625-WA0010.jpg
IMG-20250625-WA0011.jpg
IMG-20250625-WA0012.jpg
IMG-20250625-WA0013.jpg
_________________
Добрым словом и пистолетом можно добиться гораздо большего, чем просто добрым словом.

Не в сети
Аватара пользователя
Сообщения: 12268
Зарегистрирован: 02 ноя 2017, 12:27
Откуда: Санкт-Петербург
Благодарил (а): 6153 раза
Поблагодарили: 23436 раз

Re: Екатеринбург, цвергшнауцер Бэст, 8 мес

Сообщение friedlein »

Ездил к врачу. Все нормально, рентген через 6 недель. Ограничивать подвижность
Вложения
IMG-20250709-WA0025.jpg
_________________
Добрым словом и пистолетом можно добиться гораздо большего, чем просто добрым словом.
Ответить

Вернуться в «Регистратура»