Ризеншнауцер Зевс 31.12.14г.р.

Из Вологды

Краткая ветеринарная информация по подопечным Фонда помощи шнауцерам (выжимка без обсуждений)

Модератор: Модераторы регистратуры

Закрыто
  • Автор
  • Сообщение
Не в сети
Аватара пользователя
Сообщения: 21521
Зарегистрирован: 11 янв 2009, 11:20
Откуда: Москва
Благодарил (а): 5281 раз
Поблагодарили: 9565 раз
Контактная информация:

Ризеншнауцер Зевс 31.12.14г.р.

Сообщение zver »

Основная тема:viewtopic.php?t=14313&start=80
Кардиолог
IMG-20241115-WA0046.jpg
IMG-20241115-WA0047.jpg

Не в сети
Аватара пользователя
Сообщения: 12012
Зарегистрирован: 02 ноя 2017, 12:27
Откуда: Санкт-Петербург
Благодарил (а): 5954 раза
Поблагодарили: 22624 раза

Re: Ризеншнауцер Зевс 31.12.14г.р.

Сообщение friedlein »

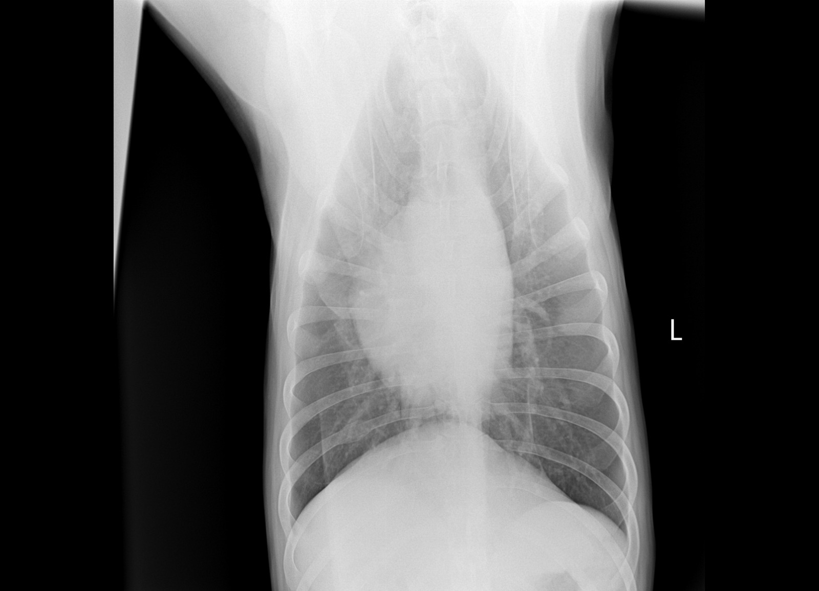
Рентген
Вложения
IMG-20241115-WA0049.jpg
IMG-20241115-WA0050.jpg
IMG-20241115-WA0052.jpg
IMG-20241115-WA0053.jpg
IMG-20241115-WA0051.jpg
_________________
Добрым словом и пистолетом можно добиться гораздо большего, чем просто добрым словом.

Не в сети
Аватара пользователя
Сообщения: 12012
Зарегистрирован: 02 ноя 2017, 12:27
Откуда: Санкт-Петербург
Благодарил (а): 5954 раза
Поблагодарили: 22624 раза

Re: Ризеншнауцер Зевс 31.12.14г.р.

Сообщение friedlein »

Обзорное УЗИ
Вложения
Screenshot_2024-11-15-18-53-51-102_com.mi.globalbrowser.jpg
_________________
Добрым словом и пистолетом можно добиться гораздо большего, чем просто добрым словом.

Не в сети
Аватара пользователя
Сообщения: 12012
Зарегистрирован: 02 ноя 2017, 12:27
Откуда: Санкт-Петербург
Благодарил (а): 5954 раза
Поблагодарили: 22624 раза

Re: Ризеншнауцер Зевс 31.12.14г.р.

Сообщение friedlein »

Анализы
Вложения
Screenshot_2024-11-17-10-45-08-989_com.google.android.apps.docs.editors.sheets.jpg
Screenshot_2024-11-17-10-44-57-482_com.google.android.apps.docs.editors.sheets.jpg
Screenshot_2024-11-17-10-44-27-076_com.google.android.apps.docs.editors.sheets.jpg
_________________
Добрым словом и пистолетом можно добиться гораздо большего, чем просто добрым словом.

Не в сети
Сообщения: 48
Зарегистрирован: 18 янв 2022, 14:52
Поблагодарили: 133 раза

Re: Ризеншнауцер Зевс 31.12.14г.р.

Сообщение Steysi »

Изображение

Не в сети
Аватара пользователя
Сообщения: 12012
Зарегистрирован: 02 ноя 2017, 12:27
Откуда: Санкт-Петербург
Благодарил (а): 5954 раза
Поблагодарили: 22624 раза

Re: Ризеншнауцер Зевс 31.12.14г.р.

Сообщение friedlein »

Описание рентгена
Вложения
IMG-20241126-WA0023.jpg
IMG-20241126-WA0022.jpg
_________________
Добрым словом и пистолетом можно добиться гораздо большего, чем просто добрым словом.

Не в сети
Аватара пользователя
Сообщения: 696
Зарегистрирован: 21 дек 2019, 18:51
Откуда: Н.Новгород
Благодарил (а): 1422 раза
Поблагодарили: 2327 раз

Re: Ризеншнауцер Зевс 31.12.14г.р.

Сообщение Марта+ »

Интересно, а изменения в бронхах на рентгене от диро или результат хронического бронхита?

Не в сети
Аватара пользователя
Сообщения: 21521
Зарегистрирован: 11 янв 2009, 11:20
Откуда: Москва
Благодарил (а): 5281 раз
Поблагодарили: 9565 раз
Контактная информация:

Re: Ризеншнауцер Зевс 31.12.14г.р.

Сообщение zver »

Марта+ писал(а): 26 ноя 2024, 20:19 Интересно, а изменения в бронхах на рентгене от диро или результат хронического бронхита?
У Зевса кожная форма. Не от диро.

Не в сети
Аватара пользователя
Сообщения: 12012
Зарегистрирован: 02 ноя 2017, 12:27
Откуда: Санкт-Петербург
Благодарил (а): 5954 раза
Поблагодарили: 22624 раза

Re: Ризеншнауцер Зевс 31.12.14г.р.

Сообщение friedlein »

Гистология новообразований на коже, доброкачественное
Вложения
IMG-20241207-WA0008.jpg
IMG-20241207-WA0007.jpg
_________________
Добрым словом и пистолетом можно добиться гораздо большего, чем просто добрым словом.

Не в сети
Аватара пользователя
Сообщения: 12012
Зарегистрирован: 02 ноя 2017, 12:27
Откуда: Санкт-Петербург
Благодарил (а): 5954 раза
Поблагодарили: 22624 раза

Re: Ризеншнауцер Зевс 31.12.14г.р.

Сообщение friedlein »

Рентген лапы, которая болит
Вложения
WhatsApp Image 2024-12-07 at 15.46.12.jpeg
IMG_20241207_154354_764.jpg
IMG_20241207_154351_740.jpg
IMG_20241207_154348_864.jpg
_________________
Добрым словом и пистолетом можно добиться гораздо большего, чем просто добрым словом.

Не в сети
Аватара пользователя
Сообщения: 21521
Зарегистрирован: 11 янв 2009, 11:20
Откуда: Москва
Благодарил (а): 5281 раз
Поблагодарили: 9565 раз
Контактная информация:

Re: Ризеншнауцер Зевс 31.12.14г.р.

Сообщение zver »

Слов много, но не литературно....
Зона операции в снимок не попала....но со слов врача все нормально. То что видно - чисто....придется поверить, но так как шов подтекает, антиюиотик попробуем заменить на клиндомицин.
Сильнейший коксартроз тбс на больной лапе.....который не заметили на первичных осмотрах....зато настаивали в необходимости кастрации. В результате изменения положения лапы, нагрузки - воспаление и боль.
Гистологии пришли 2 из 3-х. Естественно нет пальца...
Кожные образования доброкачественные

Не в сети
Аватара пользователя
Сообщения: 12012
Зарегистрирован: 02 ноя 2017, 12:27
Откуда: Санкт-Петербург
Благодарил (а): 5954 раза
Поблагодарили: 22624 раза

Re: Ризеншнауцер Зевс 31.12.14г.р.

Сообщение friedlein »

Гистология пальца. Доброкачественная
Вложения
IMG_20241209_224059.jpg
_________________
Добрым словом и пистолетом можно добиться гораздо большего, чем просто добрым словом.
Закрыто

Вернуться в «Регистратура»