Метис Эли г.Николаев,Украина.
- Автор
- Сообщение
-
Не в сети
- Сообщения: 1338
- Зарегистрирован: 29 окт 2016, 16:31
- Благодарил (а): 44 раза
- Поблагодарили: 347 раз
Метис Эли г.Николаев,Украина.
Основная тема Эли: http://pet-help.ru/forum/viewtopic.php?f=52&t=13981
В клинике г.Николаев Эли был наложен гипс на переднюю лапу и проведена стерилизация.
После снятия гипса,она не становилась на лапу,собака испытывала боль.
Была обследована в клинику ЭКСВЕТ г.Одесса.
В клинике г.Николаев Эли был наложен гипс на переднюю лапу и проведена стерилизация.
После снятия гипса,она не становилась на лапу,собака испытывала боль.
Была обследована в клинику ЭКСВЕТ г.Одесса.
-
Не в сети
- Сообщения: 12012
- Зарегистрирован: 02 ноя 2017, 12:27
- Откуда: Санкт-Петербург
- Благодарил (а): 5955 раз
- Поблагодарили: 22624 раза
Re: Метис Эли г.Николаев,Украина.
_________________
Добрым словом и пистолетом можно добиться гораздо большего, чем просто добрым словом.
Добрым словом и пистолетом можно добиться гораздо большего, чем просто добрым словом.
-
Не в сети
- Сообщения: 21521
- Зарегистрирован: 11 янв 2009, 11:20
- Откуда: Москва
- Благодарил (а): 5281 раз
- Поблагодарили: 9568 раз
- Контактная информация:
Re: Метис Эли г.Николаев,Украина.
Пост из клиники на ФБ
#пациент_Эксвет Элли - собака из приюта Людмила Сердюк "Дом, где живет любовь" .
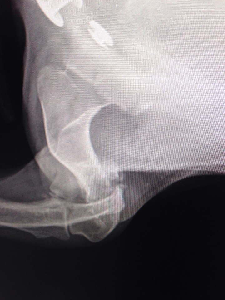
В клинику поступила с жалобами на отсутствие опоры левой грудной конечности. При осмотре обнаружилось, что у собаки нарушены анатомические контуры левого локтевого сустава и при манипуляциях с этим суставом животное испытывает боль.
Рентгенографические снимки в прямой и боковой проекциях показали, что Элли перенесла полтора-два месяца назад перелом латерального мыщелка левой плечевой кости.
Этот перелом не был должным образом пролечен. Собаке нужно было выполнить хирургическое лечение, так как такие переломы лечатся только оперативно. Все внутрисоставные переломы должны быть хирургически собраны максимально точно. Это обеспечивает полноценность работы сустава. Если нет адекватного анатомического сопоставления, будет развиваться остеоартрит, сустав придет в негодность. В данном случае собаке просто наложили гипс. За прошедшее время поверхности срослись в том виде, в каком были при переломе. Сустав полностью был разрушен.
Для того, чтобы убрать боль собаке и позволить ей опираться на конечность, мы выполнили артродезирование левого локтевого сустава.
Смысл в том, что мы сращиваем сустав, т.е. создаем условия, которые вызывают срастание поверхностей сустава. Благодаря этому будет обеспечена опорная функция конечности и уйдет боль. Ожидаем получить хороший клинический результат, потому что собака маленькая.
Операцию провели Португейс Алексей Александрович, Юсипов Владимир Васильевич, Белецкий Евгений Владимирович.
В ходе операции выполнили доступ к суставу, убрали весь хрящ с помощью бормашины. Затем осуществили аутотрансплантацию губчатой кости: перенесли кость из внутренней части левого плеча (губчатая кость) в полость левого локтевого сустава. После чего выполнили фиксацию. Часть фиксации находится внутри - это спицы. Основная часть фиксации находится снаружи - внешний фиксатор. Рассчитываем, что примерно через два с половиной месяца плечо срастется с предплечьем, т.е. произойдет полное сращивание локтевого сустава. Тогда и демонтируемых внешний фиксатор. Внутренняя фиксация извлекаться не будет.
Элли после операции чувствует себя нормально. Из ОРИТ выписана.
#пациент_Эксвет Элли - собака из приюта Людмила Сердюк "Дом, где живет любовь" .
В клинику поступила с жалобами на отсутствие опоры левой грудной конечности. При осмотре обнаружилось, что у собаки нарушены анатомические контуры левого локтевого сустава и при манипуляциях с этим суставом животное испытывает боль.
Рентгенографические снимки в прямой и боковой проекциях показали, что Элли перенесла полтора-два месяца назад перелом латерального мыщелка левой плечевой кости.
Этот перелом не был должным образом пролечен. Собаке нужно было выполнить хирургическое лечение, так как такие переломы лечатся только оперативно. Все внутрисоставные переломы должны быть хирургически собраны максимально точно. Это обеспечивает полноценность работы сустава. Если нет адекватного анатомического сопоставления, будет развиваться остеоартрит, сустав придет в негодность. В данном случае собаке просто наложили гипс. За прошедшее время поверхности срослись в том виде, в каком были при переломе. Сустав полностью был разрушен.
Для того, чтобы убрать боль собаке и позволить ей опираться на конечность, мы выполнили артродезирование левого локтевого сустава.
Смысл в том, что мы сращиваем сустав, т.е. создаем условия, которые вызывают срастание поверхностей сустава. Благодаря этому будет обеспечена опорная функция конечности и уйдет боль. Ожидаем получить хороший клинический результат, потому что собака маленькая.
Операцию провели Португейс Алексей Александрович, Юсипов Владимир Васильевич, Белецкий Евгений Владимирович.
В ходе операции выполнили доступ к суставу, убрали весь хрящ с помощью бормашины. Затем осуществили аутотрансплантацию губчатой кости: перенесли кость из внутренней части левого плеча (губчатая кость) в полость левого локтевого сустава. После чего выполнили фиксацию. Часть фиксации находится внутри - это спицы. Основная часть фиксации находится снаружи - внешний фиксатор. Рассчитываем, что примерно через два с половиной месяца плечо срастется с предплечьем, т.е. произойдет полное сращивание локтевого сустава. Тогда и демонтируемых внешний фиксатор. Внутренняя фиксация извлекаться не будет.
Элли после операции чувствует себя нормально. Из ОРИТ выписана.
-
Не в сети
- Сообщения: 21521
- Зарегистрирован: 11 янв 2009, 11:20
- Откуда: Москва
- Благодарил (а): 5281 раз
- Поблагодарили: 9568 раз
- Контактная информация:
Re: Метис Эли г.Николаев,Украина.
Так что, если все будет хорошо, через 2,5 -3 месяца операция по удалению части конструкции.
Не думаю, что она входит в стоимость первичной операции, поэтому потребуются дополнительные средства.
Не думаю, что она входит в стоимость первичной операции, поэтому потребуются дополнительные средства.
-
Не в сети
- Сообщения: 12012
- Зарегистрирован: 02 ноя 2017, 12:27
- Откуда: Санкт-Петербург
- Благодарил (а): 5955 раз
- Поблагодарили: 22624 раза
Re: Метис Эли г.Николаев,Украина.
_________________
Добрым словом и пистолетом можно добиться гораздо большего, чем просто добрым словом.
Добрым словом и пистолетом можно добиться гораздо большего, чем просто добрым словом.
-
Не в сети
- Сообщения: 1338
- Зарегистрирован: 29 окт 2016, 16:31
- Благодарил (а): 44 раза
- Поблагодарили: 347 раз
Re: Метис Эли г.Николаев,Украина.
13 декабря Элли ждут в Одессе для снятия конструкции.Рентген обязательно сделают.






