Украина.Николаев. Черная миттелька и дочь-метис.
- Автор
- Сообщение
-
Не в сети
- Сообщения: 12285
- Зарегистрирован: 02 ноя 2017, 12:27
- Откуда: Санкт-Петербург
- Благодарил (а): 6168 раз
- Поблагодарили: 23497 раз
Re: Украина.Николаев.Ризенка и дочь-метис.
https://www.youtube.com/watch?v=8Aj7isPLUsI
https://www.youtube.com/watch?v=bYXhRkmB7tU
https://www.youtube.com/watch?v=bmgg8YfnzKA
https://www.youtube.com/watch?v=bYXhRkmB7tU
https://www.youtube.com/watch?v=bmgg8YfnzKA
_________________
Добрым словом и пистолетом можно добиться гораздо большего, чем просто добрым словом.
Добрым словом и пистолетом можно добиться гораздо большего, чем просто добрым словом.
-
В сети
- Сообщения: 21665
- Зарегистрирован: 11 янв 2009, 11:20
- Откуда: Москва
- Благодарил (а): 5411 раз
- Поблагодарили: 9800 раз
- Контактная информация:
Re: Украина.Николаев.Ризенка и дочь-метис.
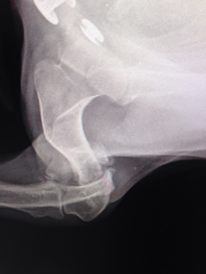
Надо мелкой рентген срочно делать
На лапу не наступает.... гипс не помню сколько был, но возможно, не правильно сложили
На лапу не наступает.... гипс не помню сколько был, но возможно, не правильно сложили
-
Не в сети
- Сообщения: 1338
- Зарегистрирован: 29 окт 2016, 16:31
- Благодарил (а): 44 раза
- Поблагодарили: 347 раз
Re: Украина.Николаев.Ризенка и дочь-метис.
Хорошо,скажу сегодня.Людмила,говорила об этом же.zver писал(а):Надо мелкой рентген срочно делать
На лапу не наступает.... гипс не помню сколько был, но возможно, не правильно сложили
-
Не в сети
- Сообщения: 1338
- Зарегистрирован: 29 окт 2016, 16:31
- Благодарил (а): 44 раза
- Поблагодарили: 347 раз
Re: Украина.Николаев.Ризенка и дочь-метис.
На следующей неделе по плану поездка в Одессу на рентген.Снимки перешлют на почту ФПШ.Клиника в которой обслуживается Людмила http://exvet.com.ua/
-
Не в сети
- Сообщения: 1338
- Зарегистрирован: 29 окт 2016, 16:31
- Благодарил (а): 44 раза
- Поблагодарили: 347 раз
Re: Украина.Николаев.Ризенка и дочь-метис.
На фейсбуке предложили помощь с грумингом.Так .что как только с лапой разберемся ,будем красоту наводить.И самое главное,сделают фото нормальные.
-
Не в сети
- Сообщения: 1338
- Зарегистрирован: 29 окт 2016, 16:31
- Благодарил (а): 44 раза
- Поблагодарили: 347 раз
Re: Украина.Николаев.Ризенка и дочь-метис.
В среду 29.08.везет в Одессу на рентген.Дорогу надо оплатить,делим пополам расходы на топливо -она еще одну везет на операцию в ту же клинику.
-
Не в сети
- Сообщения: 1338
- Зарегистрирован: 29 окт 2016, 16:31
- Благодарил (а): 44 раза
- Поблагодарили: 347 раз
Re: Украина.Николаев.Ризенка и дочь-метис.
У девочек есть имена Эля ,с лапкой на ренген едет и Мира.
-
Не в сети
- Сообщения: 1338
- Зарегистрирован: 29 окт 2016, 16:31
- Благодарил (а): 44 раза
- Поблагодарили: 347 раз
Re: Украина.Николаев.Ризенка и дочь-метис.
Вобщем все гораздо хуже оказалось.Только характер приятный,ласкавая.
-
В сети
- Сообщения: 21665
- Зарегистрирован: 11 янв 2009, 11:20
- Откуда: Москва
- Благодарил (а): 5411 раз
- Поблагодарили: 9800 раз
- Контактная информация:
Re: Украина.Николаев.Ризенка и дочь-метис.
Очень паршивый перелом.... сложная операция.
Не понятно куда и зачем одевали гипс.... зато стерилизовали.
Не понятно куда и зачем одевали гипс.... зато стерилизовали.
-
Не в сети
- Сообщения: 1338
- Зарегистрирован: 29 окт 2016, 16:31
- Благодарил (а): 44 раза
- Поблагодарили: 347 раз
Re: Украина.Николаев.Ризенка и дочь-метис.
Да,так и есть.Пишу посты,кидаю в личку-дорого обходятся чужие ошибки.Самое обидное,что если бы сразу сделали,то даже не хромала бы и цена была бы совсем другая.
-
В сети
- Сообщения: 21665
- Зарегистрирован: 11 янв 2009, 11:20
- Откуда: Москва
- Благодарил (а): 5411 раз
- Поблагодарили: 9800 раз
- Контактная информация:
Re: Украина.Николаев.Ризенка и дочь-метис.
Народ, там операция будет на очень приличные деньги - порядка 15000грн как минимум.
Лега создала пост в ФБ, надо бы покидать по сетям и денег собрать!!!
Может кто то лучше умеет макет делать?
Лега создала пост в ФБ, надо бы покидать по сетям и денег собрать!!!
Может кто то лучше умеет макет делать?
-
Не в сети
- Сообщения: 12285
- Зарегистрирован: 02 ноя 2017, 12:27
- Откуда: Санкт-Петербург
- Благодарил (а): 6168 раз
- Поблагодарили: 23497 раз
Re: Украина.Николаев.Ризенка и дочь-метис.
Я в инстаграме фонда пост сделала
_________________
Добрым словом и пистолетом можно добиться гораздо большего, чем просто добрым словом.
Добрым словом и пистолетом можно добиться гораздо большего, чем просто добрым словом.
-
Не в сети
- Сообщения: 3812
- Зарегистрирован: 10 мар 2012, 21:21
- Откуда: МО, г. Железнодорожный
- Благодарил (а): 3071 раз
- Поблагодарили: 407 раз
Re: Украина.Николаев.Ризенка и дочь-метис.
А рублях или евро это сколько?zver писал(а):Народ, там операция будет на очень приличные деньги - порядка 15000грн как минимум.
Лега создала пост в ФБ, надо бы покидать по сетям и денег собрать!!!
Может кто то лучше умеет макет делать?
-
Не в сети
- Сообщения: 3457
- Зарегистрирован: 29 окт 2011, 19:47
- Откуда: Санкт-Петербург
- Благодарил (а): 2298 раз
- Поблагодарили: 617 раз
Re: Украина.Николаев.Ризенка и дочь-метис.
От Дарьи-Дафны 500 руб и от меня 500 руб на операцию как лучше всего передать?atlanta0107 писал(а):Да,так и есть.Пишу посты,кидаю в личку-дорого обходятся чужие ошибки.Самое обидное,что если бы сразу сделали,то даже не хромала бы и цена была бы совсем другая.
_________________
От того, как ты посмотришь, зависит то, что ты увидишь!
От того, как ты посмотришь, зависит то, что ты увидишь!
-
Не в сети
- Сообщения: 10265
- Зарегистрирован: 14 июл 2009, 17:00
- Откуда: Беларусь, Минск
- Благодарил (а): 5176 раз
- Поблагодарили: 2125 раз
Re: Украина.Николаев.Ризенка и дочь-метис.
приблизительно 36 200 росс рублей или 457 евроIrina_Anat писал(а): А рублях или евро это сколько?
_________________
«О величии народа можно судить по его отношению к животным» Махатма Ганди
«О величии народа можно судить по его отношению к животным» Махатма Ганди
-
Не в сети
- Сообщения: 1338
- Зарегистрирован: 29 окт 2016, 16:31
- Благодарил (а): 44 раза
- Поблагодарили: 347 раз
Re: Украина.Николаев.Ризенка и дочь-метис.
Я думаю,что мы все соберем все же какую-то сумму,и запас небольшой есть.
-
Не в сети
- Сообщения: 1338
- Зарегистрирован: 29 окт 2016, 16:31
- Благодарил (а): 44 раза
- Поблагодарили: 347 раз
Re: Украина.Николаев.Ризенка и дочь-метис.
Спасибо девочки!Рубли теперь на меня Галина отправляет,она знает данные мои-Вестерн юнион работает.Nastas'ya писал(а):От Дарьи-Дафны 500 руб и от меня 500 руб на операцию как лучше всего передать?atlanta0107 писал(а):Да,так и есть.Пишу посты,кидаю в личку-дорого обходятся чужие ошибки.Самое обидное,что если бы сразу сделали,то даже не хромала бы и цена была бы совсем другая.
-
Не в сети
- Сообщения: 3457
- Зарегистрирован: 29 окт 2011, 19:47
- Откуда: Санкт-Петербург
- Благодарил (а): 2298 раз
- Поблагодарили: 617 раз
Re: Украина.Николаев.Ризенка и дочь-метис.
Перевела нашу 1000 Галине с пометкой «Эле на операцию»atlanta0107 писал(а):Спасибо девочки!Рубли теперь на меня Галина отправляет,она знает данные мои-Вестерн юнион работает.Nastas'ya писал(а):От Дарьи-Дафны 500 руб и от меня 500 руб на операцию как лучше всего передать?atlanta0107 писал(а):Да,так и есть.Пишу посты,кидаю в личку-дорого обходятся чужие ошибки.Самое обидное,что если бы сразу сделали,то даже не хромала бы и цена была бы совсем другая.
_________________
От того, как ты посмотришь, зависит то, что ты увидишь!
От того, как ты посмотришь, зависит то, что ты увидишь!
-
Не в сети
- Сообщения: 1338
- Зарегистрирован: 29 окт 2016, 16:31
- Благодарил (а): 44 раза
- Поблагодарили: 347 раз
Re: Украина.Николаев.Ризенка и дочь-метис.
Перевела нашу 1000 Галине с пометкой «Эле на операцию»[/quote]
Спасибо!
Спасибо!