Назначили антибиотики
Тверская обл. Ризеншнауцер Бруно, 25.03.2018г.р.
Ризен из г. Рубежное Луганской обл.
Модератор: Модераторы регистратуры
- Автор
- Сообщение
-
Не в сети
- Сообщения: 23822
- Зарегистрирован: 11 дек 2006, 11:54
- Откуда: Москва
- Благодарил (а): 864 раза
- Поблагодарили: 1730 раз
- Контактная информация:
Re: Тверская обл. Ризеншнауцер Бруно, 25.03.2018г.р.
Может быть, на фоне антибиотика сразу начать давать фортифлору? Или она снижает эффект антибиотика?
_________________
Шнауцеров много не бывает
Шнауцеров много не бывает
-
Не в сети
- Сообщения: 21521
- Зарегистрирован: 11 янв 2009, 11:20
- Откуда: Москва
- Благодарил (а): 5281 раз
- Поблагодарили: 9557 раз
- Контактная информация:
Re: Тверская обл. Ризеншнауцер Бруно, 25.03.2018г.р.
Думаю не снижает эффективность, но смысла мало.
Если будет проблема с жкт, будем думать
Если будет проблема с жкт, будем думать
-
Не в сети
- Сообщения: 21521
- Зарегистрирован: 11 янв 2009, 11:20
- Откуда: Москва
- Благодарил (а): 5281 раз
- Поблагодарили: 9557 раз
- Контактная информация:
Re: Тверская обл. Ризеншнауцер Бруно, 25.03.2018г.р.
Бруно начал неделю как хромать.
ИФ в отпуске
Благодаря куратору, прорвались к его постоянной ассистенте Васильевой.
Тьфу тьфу, все в порядке.
Предположили какую то неврологию, не суставы.
ИФ в отпуске
Благодаря куратору, прорвались к его постоянной ассистенте Васильевой.
Тьфу тьфу, все в порядке.
Предположили какую то неврологию, не суставы.
-
Не в сети
- Сообщения: 23822
- Зарегистрирован: 11 дек 2006, 11:54
- Откуда: Москва
- Благодарил (а): 864 раза
- Поблагодарили: 1730 раз
- Контактная информация:
Re: Тверская обл. Ризеншнауцер Бруно, 25.03.2018г.р.
Слава богу. Он не поправился? Вес не прибавил?
_________________
Шнауцеров много не бывает
Шнауцеров много не бывает
-
Не в сети
- Сообщения: 12012
- Зарегистрирован: 02 ноя 2017, 12:27
- Откуда: Санкт-Петербург
- Благодарил (а): 5952 раза
- Поблагодарили: 22623 раза
Re: Тверская обл. Ризеншнауцер Бруно, 25.03.2018г.р.
Анализы
_________________
Добрым словом и пистолетом можно добиться гораздо большего, чем просто добрым словом.
Добрым словом и пистолетом можно добиться гораздо большего, чем просто добрым словом.
-
Не в сети
- Сообщения: 23822
- Зарегистрирован: 11 дек 2006, 11:54
- Откуда: Москва
- Благодарил (а): 864 раза
- Поблагодарили: 1730 раз
- Контактная информация:
Re: Тверская обл. Ризеншнауцер Бруно, 25.03.2018г.р.
А анализы просто пошли сдавать по графику или что-то напрягло?
_________________
Шнауцеров много не бывает
Шнауцеров много не бывает
-
Не в сети
- Сообщения: 21521
- Зарегистрирован: 11 янв 2009, 11:20
- Откуда: Москва
- Благодарил (а): 5281 раз
- Поблагодарили: 9557 раз
- Контактная информация:
Re: Тверская обл. Ризеншнауцер Бруно, 25.03.2018г.р.
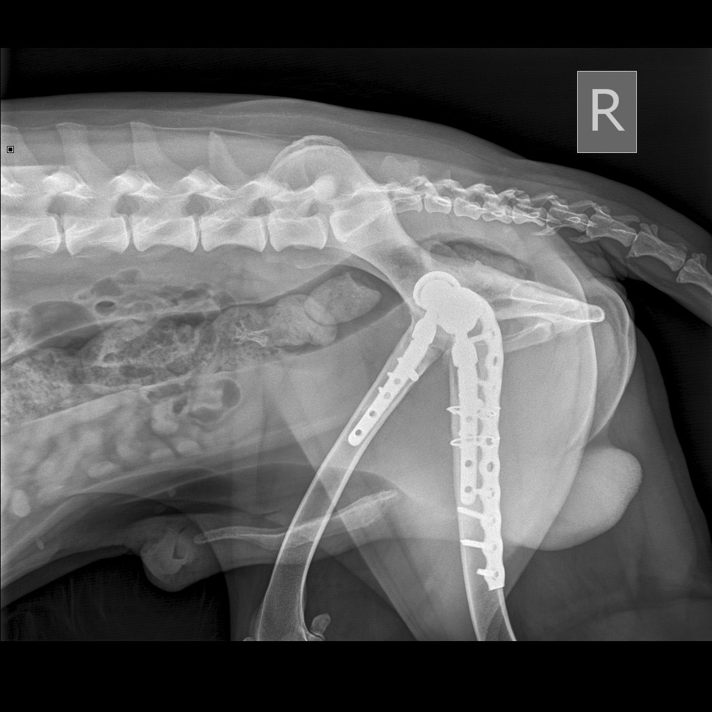
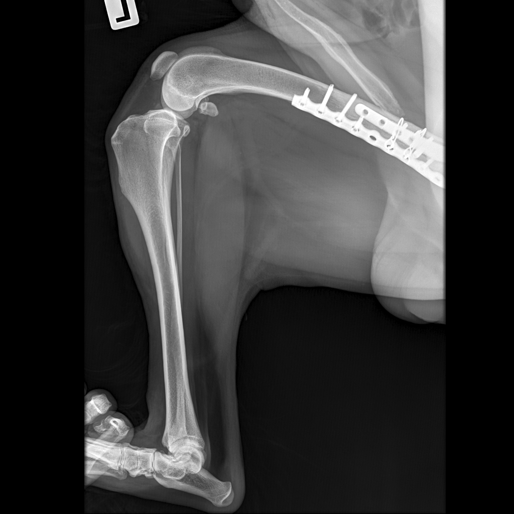
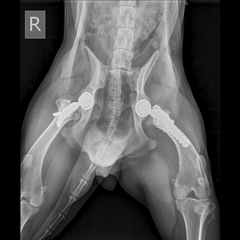
Вчера резко захромал, встал на 3 ноги и понос.
По рентгену чисто
В понедельник КТ
По рентгену чисто
В понедельник КТ
-
Не в сети
- Сообщения: 23822
- Зарегистрирован: 11 дек 2006, 11:54
- Откуда: Москва
- Благодарил (а): 864 раза
- Поблагодарили: 1730 раз
- Контактная информация:
Re: Тверская обл. Ризеншнауцер Бруно, 25.03.2018г.р.
И по крови чисто
_________________
Шнауцеров много не бывает
Шнауцеров много не бывает
-
Не в сети
- Сообщения: 21521
- Зарегистрирован: 11 янв 2009, 11:20
- Откуда: Москва
- Благодарил (а): 5281 раз
- Поблагодарили: 9557 раз
- Контактная информация:
Re: Тверская обл. Ризеншнауцер Бруно, 25.03.2018г.р.
Вечером температура была 39,9. Бруно положили в стационар, так как снять боли в домашних условиях не получилось.
Боль ( а с ней и высокое давление и большую температуру) удалось снять только опиоидами ( наркотическими препаратами).
Экспресс анализ на парво и короновирусный энтерит отрицательные ( но и так понятно, что не в них дело).








Боль ( а с ней и высокое давление и большую температуру) удалось снять только опиоидами ( наркотическими препаратами).
Экспресс анализ на парво и короновирусный энтерит отрицательные ( но и так понятно, что не в них дело).








-
Не в сети
- Сообщения: 12012
- Зарегистрирован: 02 ноя 2017, 12:27
- Откуда: Санкт-Петербург
- Благодарил (а): 5952 раза
- Поблагодарили: 22623 раза
Re: Тверская обл. Ризеншнауцер Бруно, 25.03.2018г.р.
_________________
Добрым словом и пистолетом можно добиться гораздо большего, чем просто добрым словом.
Добрым словом и пистолетом можно добиться гораздо большего, чем просто добрым словом.
-
Не в сети
- Сообщения: 21521
- Зарегистрирован: 11 янв 2009, 11:20
- Откуда: Москва
- Благодарил (а): 5281 раз
- Поблагодарили: 9557 раз
- Контактная информация:
Re: Тверская обл. Ризеншнауцер Бруно, 25.03.2018г.р.
Филиал Троицк СВЦ "МЕДВЕТ"
ИНН:772804294460 КПП:
108840, г. Москва, ГО Троицк, ул. Физическая, дом 13
СВЦ "МЕДВЕТ" телефон 8(499)110-66-86 troick@med-vet.ru
22-005-007097
QMUZ1-24-005-098807
22.12.2024
Код амбулаторной карты
Номер документа
Дата документа
Заключение УЗИ
Информация по владельцу Мокроусова Ирина Владимировна
+79037395049
Информация по животному Бруно ,собака ,Ризеншнауцер
Возраст 6 лет 6 мес 19 дн
ПЕЧЕНЬ:
Размер: не увеличена
Вентральный край: острый , не выходит за край реберной дуги
Kонтуры четкие ровные
Эхогенность паренихмы повышена относительно жира серповидной связки
сосуды и протоки:
V.Porta не изменена
V.Cava не изменена
d.choledochus не изменен
внутрипеченочные протоки: не расширены
прочее: Паренхима печени повышена
ЖЕЛЧНЫЙ ПУЗЫРЬ:
степень наполнения умеренно наполнен
форма грушевидная
содержимое анэхогенное
осадок не визуализируется
структурные деформации нет
ПОДЖЕЛУДОЧНАЯ ЖЕЛЕЗА
визуализация визуализируется
ширина, мм не утолщена
эхогенность паренихмы эхогенная
структура однородная
СЕЛЕЗЕНКА
размер не увеличена
расположение типичное
структура неоднородная
сосуды не расширены
Объемные образования не выявлены
прочее паренхима органа неоднородная
ПОЧКА ЛЕВАЯ
визуализация визуализируется
размер соответствует физиологической норме
длина, мм 56
ширина, мм 30
контуры четкие ровные
КМД выражена
Корковый слой не изменен
Эхогенность лоханки не изменена
прочее Мочеточник не расширен.
ПОЧКА ПРАВАЯ
визуализация визуализируется
размер соответствует физиологической норме
длина, мм 55
ширина, мм 33
контуры четкие ровные
КМД выражена
Корковый слой не изменен
Эхогенность лоханки не изменена
прочее Мочеточник не расширен.
МОЧЕВОЙ ПУЗЫРЬ
степень наполнения выраженно наполнен
толщина стенки,мм: 1.5мм
поверхность слизистой ровная
содержимое анэхогенное
осадок не визуализируется
Конкременты не визуализируются
прочее Уретра не расширена.
ПРЕДСТАТЕЛЬНАЯ ЖЕЛЕЗА
размер не увеличена
контуры ровные четкие
эхоструктура неоднородная
эхогенность паренихмы смешанная
Объемные образования визуализируются
Кол-во множественные
Прочее Паренхима предстательной железы неоднородна, гиперэхогенная паренхима с наличием множественных кист .
Семенники в области анатомического расположения, овальные,паренхима однородна,окружен гиперэхогенной капсулой, придаток анэхогенный,однородный
НАДПОЧЕЧНИКИ
Правый надпочечник визуализация затруднена
Левый надпочечник Гипоэхогенный, не изменен.
СВОБОДНАЯ ЖИДКОСТЬ И ЖКТ
Прочие изменения
Сальник не изменен.
Лимфоузлы не изменены.
Желудочно-кишечный тракт Желудок - просвет умеренно заполнен газом, стенки не изменены, соотношение и эхогенность слоев в норме, перистальтика сохранена, кардиальный и пилорический сфинктеры без особенностей. Тонкий кишечник (в том числе, двенадцатиперстная и подвздошная петли кишечника) - просвет спавшийся или умеренно заполнен газом, перистальтика сохранена, соотношение и эхогенность слоев в норме. Илеоцекальное соединение без особенностей. Слепая кишка - стенка не утолщена, фолликулярный слой не изменен. Ободочная кишка - стенка до 1,5 мм, просвет заполнен газом и гиперэхогенным содержимым.
ЗАКЛЮЧЕНИЕ
Признаки:
1.Диффузных изменений печени, которые могут быть следствием холангиогепатита или липидоза, менее вероятны другие вакуолярные гепатопатии, диффузная неоплазия.
2.Диффузных изменений селезенки - данная картина может встречаться при экстрамедулярном гемапоэзе нодулярной гиперпазии, сплените, менее вероятно, диффузной неоплазии.
3.Диффузных изменений предстательной железы с наличием мелких интрапростатических кист - подозрение на доброкачественную гиперплазию
Врач: Удрис Софья Игоревна
Подпись
--
С Уважением,
Сеть Ветеринарных Центров "МЕДВЕТ" ф-л "Троицк"
Москва ,Троицк ул.Физическая 13
+7(499) 110-66-86
troick@med-vet.ru
ИНН:772804294460 КПП:
108840, г. Москва, ГО Троицк, ул. Физическая, дом 13
СВЦ "МЕДВЕТ" телефон 8(499)110-66-86 troick@med-vet.ru
22-005-007097
QMUZ1-24-005-098807
22.12.2024
Код амбулаторной карты
Номер документа
Дата документа
Заключение УЗИ
Информация по владельцу Мокроусова Ирина Владимировна
+79037395049
Информация по животному Бруно ,собака ,Ризеншнауцер
Возраст 6 лет 6 мес 19 дн
ПЕЧЕНЬ:
Размер: не увеличена
Вентральный край: острый , не выходит за край реберной дуги
Kонтуры четкие ровные
Эхогенность паренихмы повышена относительно жира серповидной связки
сосуды и протоки:
V.Porta не изменена
V.Cava не изменена
d.choledochus не изменен
внутрипеченочные протоки: не расширены
прочее: Паренхима печени повышена
ЖЕЛЧНЫЙ ПУЗЫРЬ:
степень наполнения умеренно наполнен
форма грушевидная
содержимое анэхогенное
осадок не визуализируется
структурные деформации нет
ПОДЖЕЛУДОЧНАЯ ЖЕЛЕЗА
визуализация визуализируется
ширина, мм не утолщена
эхогенность паренихмы эхогенная
структура однородная
СЕЛЕЗЕНКА
размер не увеличена
расположение типичное
структура неоднородная
сосуды не расширены
Объемные образования не выявлены
прочее паренхима органа неоднородная
ПОЧКА ЛЕВАЯ
визуализация визуализируется
размер соответствует физиологической норме
длина, мм 56
ширина, мм 30
контуры четкие ровные
КМД выражена
Корковый слой не изменен
Эхогенность лоханки не изменена
прочее Мочеточник не расширен.
ПОЧКА ПРАВАЯ
визуализация визуализируется
размер соответствует физиологической норме
длина, мм 55
ширина, мм 33
контуры четкие ровные
КМД выражена
Корковый слой не изменен
Эхогенность лоханки не изменена
прочее Мочеточник не расширен.
МОЧЕВОЙ ПУЗЫРЬ
степень наполнения выраженно наполнен
толщина стенки,мм: 1.5мм
поверхность слизистой ровная
содержимое анэхогенное
осадок не визуализируется
Конкременты не визуализируются
прочее Уретра не расширена.
ПРЕДСТАТЕЛЬНАЯ ЖЕЛЕЗА
размер не увеличена
контуры ровные четкие
эхоструктура неоднородная
эхогенность паренихмы смешанная
Объемные образования визуализируются
Кол-во множественные
Прочее Паренхима предстательной железы неоднородна, гиперэхогенная паренхима с наличием множественных кист .
Семенники в области анатомического расположения, овальные,паренхима однородна,окружен гиперэхогенной капсулой, придаток анэхогенный,однородный
НАДПОЧЕЧНИКИ
Правый надпочечник визуализация затруднена
Левый надпочечник Гипоэхогенный, не изменен.
СВОБОДНАЯ ЖИДКОСТЬ И ЖКТ
Прочие изменения
Сальник не изменен.
Лимфоузлы не изменены.
Желудочно-кишечный тракт Желудок - просвет умеренно заполнен газом, стенки не изменены, соотношение и эхогенность слоев в норме, перистальтика сохранена, кардиальный и пилорический сфинктеры без особенностей. Тонкий кишечник (в том числе, двенадцатиперстная и подвздошная петли кишечника) - просвет спавшийся или умеренно заполнен газом, перистальтика сохранена, соотношение и эхогенность слоев в норме. Илеоцекальное соединение без особенностей. Слепая кишка - стенка не утолщена, фолликулярный слой не изменен. Ободочная кишка - стенка до 1,5 мм, просвет заполнен газом и гиперэхогенным содержимым.
ЗАКЛЮЧЕНИЕ
Признаки:
1.Диффузных изменений печени, которые могут быть следствием холангиогепатита или липидоза, менее вероятны другие вакуолярные гепатопатии, диффузная неоплазия.
2.Диффузных изменений селезенки - данная картина может встречаться при экстрамедулярном гемапоэзе нодулярной гиперпазии, сплените, менее вероятно, диффузной неоплазии.
3.Диффузных изменений предстательной железы с наличием мелких интрапростатических кист - подозрение на доброкачественную гиперплазию
Врач: Удрис Софья Игоревна
Подпись
--
С Уважением,
Сеть Ветеринарных Центров "МЕДВЕТ" ф-л "Троицк"
Москва ,Троицк ул.Физическая 13
+7(499) 110-66-86
troick@med-vet.ru
-
Не в сети
- Сообщения: 12012
- Зарегистрирован: 02 ноя 2017, 12:27
- Откуда: Санкт-Петербург
- Благодарил (а): 5952 раза
- Поблагодарили: 22623 раза
Re: Тверская обл. Ризеншнауцер Бруно, 25.03.2018г.р.
Анализы
_________________
Добрым словом и пистолетом можно добиться гораздо большего, чем просто добрым словом.
Добрым словом и пистолетом можно добиться гораздо большего, чем просто добрым словом.
-
Не в сети
- Сообщения: 12012
- Зарегистрирован: 02 ноя 2017, 12:27
- Откуда: Санкт-Петербург
- Благодарил (а): 5952 раза
- Поблагодарили: 22623 раза
Re: Тверская обл. Ризеншнауцер Бруно, 25.03.2018г.р.
Выписка
_________________
Добрым словом и пистолетом можно добиться гораздо большего, чем просто добрым словом.
Добрым словом и пистолетом можно добиться гораздо большего, чем просто добрым словом.
-
Не в сети
- Сообщения: 12012
- Зарегистрирован: 02 ноя 2017, 12:27
- Откуда: Санкт-Петербург
- Благодарил (а): 5952 раза
- Поблагодарили: 22623 раза
Re: Тверская обл. Ризеншнауцер Бруно, 25.03.2018г.р.
Моча бак посев
_________________
Добрым словом и пистолетом можно добиться гораздо большего, чем просто добрым словом.
Добрым словом и пистолетом можно добиться гораздо большего, чем просто добрым словом.
-
Не в сети
- Сообщения: 12012
- Зарегистрирован: 02 ноя 2017, 12:27
- Откуда: Санкт-Петербург
- Благодарил (а): 5952 раза
- Поблагодарили: 22623 раза
Re: Тверская обл. Ризеншнауцер Бруно, 25.03.2018г.р.
Вот она, попалась 
_________________
Добрым словом и пистолетом можно добиться гораздо большего, чем просто добрым словом.
Добрым словом и пистолетом можно добиться гораздо большего, чем просто добрым словом.
-
Не в сети
- Сообщения: 21521
- Зарегистрирован: 11 янв 2009, 11:20
- Откуда: Москва
- Благодарил (а): 5281 раз
- Поблагодарили: 9557 раз
- Контактная информация:
Re: Тверская обл. Ризеншнауцер Бруно, 25.03.2018г.р.
Здравствуйте, с. Бруно по плану перед началом курса Амикацина
- Контроль крови БХ( Мочевина, креатинин, фосфор)
- Анализ мочи соотношение ГГТ\Креатинин
При отс. противопоказаний:
- Амикацин 1 гр(1000мг) Ампула - развести в 5 мл натрия хлорида 0.9% набрать 3 мл внутримышечно 1 раз в сутки до отмены Васильевой Е.А. ( Минимальный курс 6 недель)
После начала курса Амикацина необходим контроль
- Анализ мочи ГГТ//Креатинин 1 раз в 3 дня.
По плану через 3 недели записаться к Васильевой Евгении Александровне на забор материала на цитологию и бактериологический посев повторно в динамике.
- Контроль крови БХ( Мочевина, креатинин, фосфор)
- Анализ мочи соотношение ГГТ\Креатинин
При отс. противопоказаний:
- Амикацин 1 гр(1000мг) Ампула - развести в 5 мл натрия хлорида 0.9% набрать 3 мл внутримышечно 1 раз в сутки до отмены Васильевой Е.А. ( Минимальный курс 6 недель)
После начала курса Амикацина необходим контроль
- Анализ мочи ГГТ//Креатинин 1 раз в 3 дня.
По плану через 3 недели записаться к Васильевой Евгении Александровне на забор материала на цитологию и бактериологический посев повторно в динамике.





