Уфа/Москва, метис Митя

Краткая ветеринарная информация по подопечным Фонда помощи шнауцерам (выжимка без обсуждений)

Модератор: Модераторы регистратуры

Ответить
  • Автор
  • Сообщение
Не в сети
Аватара пользователя
Сообщения: 12147
Зарегистрирован: 02 ноя 2017, 12:27
Откуда: Санкт-Петербург
Благодарил (а): 6041 раз
Поблагодарили: 23096 раз

Уфа/Москва, метис Митя

Сообщение friedlein »

Основная тема viewtopic.php?t=15619

Обследования в Уфе
УЗИ и биохимия крови
Принимает метронидазол и кладаксу.
Глистогонное Инспектор 10.01. Повтор через 10 дней врач написал.
Изображение
Вложения
WhatsApp Image 2024-01-16 at 16.25.29.jpeg
IMG-20240116-WA0025.jpg
IMG-20240113-WA0012.jpg
IMG-20240116-WA0026.jpg
_________________
Добрым словом и пистолетом можно добиться гораздо большего, чем просто добрым словом.

Не в сети
Аватара пользователя
Сообщения: 12147
Зарегистрирован: 02 ноя 2017, 12:27
Откуда: Санкт-Петербург
Благодарил (а): 6041 раз
Поблагодарили: 23096 раз

Re: Уфа, метис Бакс

Сообщение friedlein »

Когда забрали из отлова, был сильный кашель и сопли. Сейчас соплей нет, подкашливает еще, но редко.
Был понос, желтой водой 6-7 раз в день какал. На метронидазоле сейчас какает 2 раза в день, мягковато, но сформированные какашки.
_________________
Добрым словом и пистолетом можно добиться гораздо большего, чем просто добрым словом.

Не в сети
Аватара пользователя
Сообщения: 12147
Зарегистрирован: 02 ноя 2017, 12:27
Откуда: Санкт-Петербург
Благодарил (а): 6041 раз
Поблагодарили: 23096 раз

Re: Уфа, метис Бакс

Сообщение friedlein »

Анализы
Вложения
IMG-20240205-WA0020.jpg
IMG-20240205-WA0019.jpg
IMG-20240205-WA0021.jpg
_________________
Добрым словом и пистолетом можно добиться гораздо большего, чем просто добрым словом.

Не в сети
Аватара пользователя
Сообщения: 8833
Зарегистрирован: 10 ноя 2013, 22:36
Благодарил (а): 566 раз
Поблагодарили: 4665 раз

Re: Уфа/Москва, метис Митя

Сообщение Дима »

Делали колоноскопию. Все чисто, опухоли нет.
Вложения
IMG-20240206-WA0045.jpg
IMG-20240206-WA0044.jpg
IMG-20240206-WA0043.jpg

Не в сети
Сообщения: 73
Зарегистрирован: 02 май 2023, 13:35
Благодарил (а): 9 раз
Поблагодарили: 350 раз

Re: Уфа/Москва, метис Митя

Сообщение Groominghouse »

Досдаём на 24
Вложения
6E3B0191-F512-473A-AFA4-1ED5AFB35506-min.jpeg

Не в сети
Аватара пользователя
Сообщения: 21573
Зарегистрирован: 11 янв 2009, 11:20
Откуда: Москва
Благодарил (а): 5328 раз
Поблагодарили: 9631 раз
Контактная информация:

Re: Уфа/Москва, метис Митя

Сообщение zver »

Лучше все что связано с бак.посевами сдавать в Пастер....

Не в сети
Аватара пользователя
Сообщения: 12147
Зарегистрирован: 02 ноя 2017, 12:27
Откуда: Санкт-Петербург
Благодарил (а): 6041 раз
Поблагодарили: 23096 раз

Re: Уфа/Москва, метис Митя

Сообщение friedlein »

Переделали УЗИ.
Сдали ещё кровь.
Вложения
IMG-20240408-WA0001.jpg
IMG-20240408-WA0000.jpg
_________________
Добрым словом и пистолетом можно добиться гораздо большего, чем просто добрым словом.

Не в сети
Аватара пользователя
Сообщения: 8833
Зарегистрирован: 10 ноя 2013, 22:36
Благодарил (а): 566 раз
Поблагодарили: 4665 раз

Re: Уфа/Москва, метис Митя

Сообщение Дима »

Пришли анализы Мити. Все собрал, что можно...
Вложения
IMG_20240410_204433.jpg
IMG_20240410_204454.jpg

Не в сети
Аватара пользователя
Сообщения: 8833
Зарегистрирован: 10 ноя 2013, 22:36
Благодарил (а): 566 раз
Поблагодарили: 4665 раз

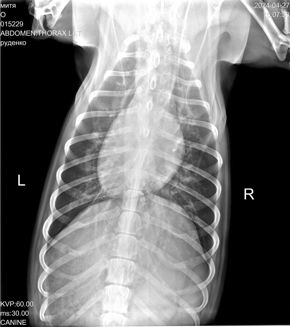
Re: Уфа/Москва, метис Митя

Сообщение Дима »

Сегодня Катюша возила Митю на рентген.
Вложения
IMG-20240427-WA0028.jpg
IMG-20240427-WA0029.jpg
IMG-20240427-WA0030.jpg
IMG-20240427-WA0031.jpg
IMG-20240427-WA0032.jpg

Не в сети
Аватара пользователя
Сообщения: 8833
Зарегистрирован: 10 ноя 2013, 22:36
Благодарил (а): 566 раз
Поблагодарили: 4665 раз

Re: Уфа/Москва, метис Митя

Сообщение Дима »

Визит в Био контроль.
Вложения
IMG-20240503-WA0115.jpg
IMG-20240503-WA0113.jpg
IMG-20240503-WA0111.jpg
IMG-20240503-WA0112.jpg
IMG-20240503-WA0110.jpg

Не в сети
Аватара пользователя
Сообщения: 8833
Зарегистрирован: 10 ноя 2013, 22:36
Благодарил (а): 566 раз
Поблагодарили: 4665 раз

Re: Уфа/Москва, метис Митя

Сообщение Дима »

Далее
Вложения
IMG-20240503-WA0116.jpg
IMG-20240503-WA0114.jpg

Не в сети
Аватара пользователя
Сообщения: 12147
Зарегистрирован: 02 ноя 2017, 12:27
Откуда: Санкт-Петербург
Благодарил (а): 6041 раз
Поблагодарили: 23096 раз

Re: Уфа/Москва, метис Митя

Сообщение friedlein »

выписка после операции
Изображение
_________________
Добрым словом и пистолетом можно добиться гораздо большего, чем просто добрым словом.

Не в сети
Аватара пользователя
Сообщения: 12147
Зарегистрирован: 02 ноя 2017, 12:27
Откуда: Санкт-Петербург
Благодарил (а): 6041 раз
Поблагодарили: 23096 раз

Re: Уфа/Москва, метис Митя

Сообщение friedlein »

Гистология новообразования в предстательной железе.

Изображение
Изображение
_________________
Добрым словом и пистолетом можно добиться гораздо большего, чем просто добрым словом.

Не в сети
Аватара пользователя
Сообщения: 12147
Зарегистрирован: 02 ноя 2017, 12:27
Откуда: Санкт-Петербург
Благодарил (а): 6041 раз
Поблагодарили: 23096 раз

Re: Уфа/Москва, метис Митя

Сообщение friedlein »

Поездка к онкологу и на УЗИ
Вложения
IMG-20240702-WA0025.jpg
IMG-20240702-WA0023.jpg
IMG-20240702-WA0024.jpg
IMG-20240702-WA0022.jpg
IMG-20240702-WA0021.jpg
_________________
Добрым словом и пистолетом можно добиться гораздо большего, чем просто добрым словом.
Ответить

Вернуться в «Регистратура»