Тверская обл. Ризеншнауцер Бруно, 25.03.2018г.р.
Ризен из г. Рубежное Луганской обл.
Модератор: Модераторы регистратуры
- Автор
- Сообщение
-
Не в сети
- Сообщения: 21413
- Зарегистрирован: 11 янв 2009, 11:20
- Откуда: Москва
- Благодарил (а): 5198 раз
- Поблагодарили: 9342 раза
- Контактная информация:
Re: Тверская обл. Ризеншнауцер Бруно, 25.03.2018г.р.
Да
Швы Наталья сняла дома. Шов хороший. Бруно им не интересуется.
Швы Наталья сняла дома. Шов хороший. Бруно им не интересуется.
-
Не в сети
- Сообщения: 21413
- Зарегистрирован: 11 янв 2009, 11:20
- Откуда: Москва
- Благодарил (а): 5198 раз
- Поблагодарили: 9342 раза
- Контактная информация:
Re: Тверская обл. Ризеншнауцер Бруно, 25.03.2018г.р.
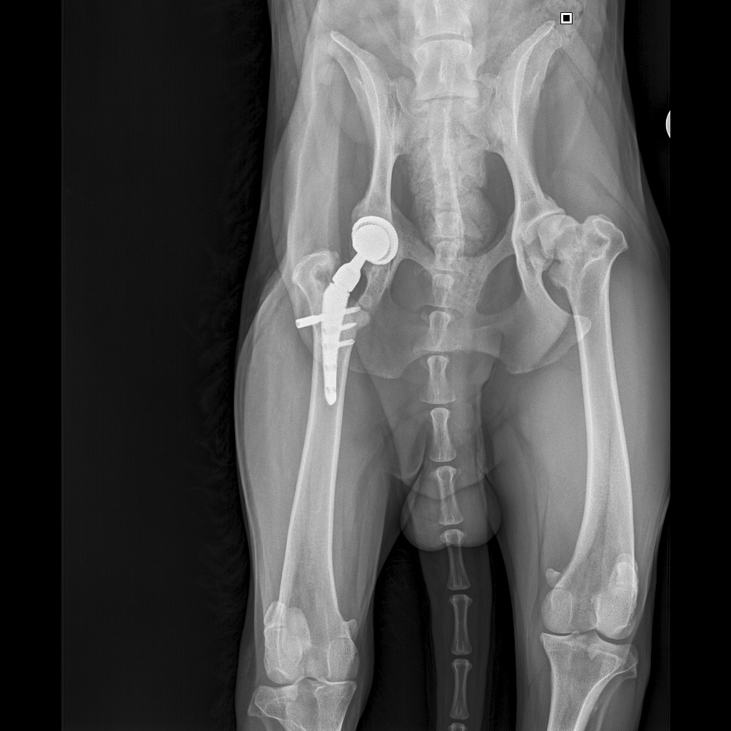
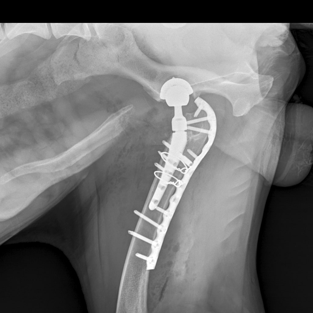
26 августа к 10 утра голодными, нас ждут на контрольный рентген в клинике на Вернадского.
Рентген будет под седацией
Рентген будет под седацией
-
Не в сети
- Сообщения: 21413
- Зарегистрирован: 11 янв 2009, 11:20
- Откуда: Москва
- Благодарил (а): 5198 раз
- Поблагодарили: 9342 раза
- Контактная информация:
Re: Тверская обл. Ризеншнауцер Бруно, 25.03.2018г.р.
Уши Бруно чистят ПреОтик АВ. Сказала по состоянию, сейчас там хорошо, хотя одно ухо чуть розовее другого.
Проблема с крайней плотью вполне может быть из-за молочницы ( кандидомикоза), так как в общей сложности 1,5 месяца пили антибиотики.
Попросила купить флюконазол / флюкостат 50 мг и пропить по 2 таблетки 2 раза в день 14 дней. Через неделю сказать, есть ли изменения.
Поспринцевать принца хлоргекседином 1 раз в день 7 дней.
Постирать товарища в дегтярном шампуне или с хлоргекседином 4-5%
Подавать карсил по 2 табл 2 раза в день 1,5 месяца
Серу на кончике ножа 2 раза в день 3 недели
Рыбий жир по 1 чайной ложке 2 раза в день 3 недели.
Ну и нам пожелали не успеть сломать шейку бедра второй лапы до операции
Прививку решили отложить на потом.
Проблема с крайней плотью вполне может быть из-за молочницы ( кандидомикоза), так как в общей сложности 1,5 месяца пили антибиотики.
Попросила купить флюконазол / флюкостат 50 мг и пропить по 2 таблетки 2 раза в день 14 дней. Через неделю сказать, есть ли изменения.
Поспринцевать принца хлоргекседином 1 раз в день 7 дней.
Постирать товарища в дегтярном шампуне или с хлоргекседином 4-5%
Подавать карсил по 2 табл 2 раза в день 1,5 месяца
Серу на кончике ножа 2 раза в день 3 недели
Рыбий жир по 1 чайной ложке 2 раза в день 3 недели.
Ну и нам пожелали не успеть сломать шейку бедра второй лапы до операции
Прививку решили отложить на потом.
-
Не в сети
- Сообщения: 21413
- Зарегистрирован: 11 янв 2009, 11:20
- Откуда: Москва
- Благодарил (а): 5198 раз
- Поблагодарили: 9342 раза
- Контактная информация:
Re: Тверская обл. Ризеншнауцер Бруно, 25.03.2018г.р.
За время противовоспалительной терапии снизилось воспаление и в левом тазобедренном суставе, но увы, форма головки бедренной кости и состояние шейки бедра , лучше не стали:(((
Операция однозначно нужна.
-
Не в сети
- Сообщения: 23819
- Зарегистрирован: 11 дек 2006, 11:54
- Откуда: Москва
- Благодарил (а): 863 раза
- Поблагодарили: 1729 раз
- Контактная информация:
Re: Тверская обл. Ризеншнауцер Бруно, 25.03.2018г.р.
Снимки столь качественные, что их можно в учебник
_________________
Шнауцеров много не бывает
Шнауцеров много не бывает
-
Не в сети
- Сообщения: 21413
- Зарегистрирован: 11 янв 2009, 11:20
- Откуда: Москва
- Благодарил (а): 5198 раз
- Поблагодарили: 9342 раза
- Контактная информация:
Re: Тверская обл. Ризеншнауцер Бруно, 25.03.2018г.р.
До операции решили товарища проглистогонить и поколоть B12.
-
Не в сети
- Сообщения: 21413
- Зарегистрирован: 11 янв 2009, 11:20
- Откуда: Москва
- Благодарил (а): 5198 раз
- Поблагодарили: 9342 раза
- Контактная информация:
Re: Тверская обл. Ризеншнауцер Бруно, 25.03.2018г.р.
Перевели все собранные на Бруно деньги на счет клиники.
Готовимся ко второй операции 3 октября
Готовимся ко второй операции 3 октября
-
Не в сети
- Сообщения: 23819
- Зарегистрирован: 11 дек 2006, 11:54
- Откуда: Москва
- Благодарил (а): 863 раза
- Поблагодарили: 1729 раз
- Контактная информация:
Re: Тверская обл. Ризеншнауцер Бруно, 25.03.2018г.р.
Железный дровосек
_________________
Шнауцеров много не бывает
Шнауцеров много не бывает
-
Не в сети
- Сообщения: 21413
- Зарегистрирован: 11 янв 2009, 11:20
- Откуда: Москва
- Благодарил (а): 5198 раз
- Поблагодарили: 9342 раза
- Контактная информация:
Re: Тверская обл. Ризеншнауцер Бруно, 25.03.2018г.р.
Пришел бак.посев.
Все чисто Но похоже есть свищ, не заживает нормально шов, подтекает лимфа.
В среду надо показаться Илье Федоровичу.
Все чисто Но похоже есть свищ, не заживает нормально шов, подтекает лимфа.
В среду надо показаться Илье Федоровичу.
-
Не в сети
- Сообщения: 23819
- Зарегистрирован: 11 дек 2006, 11:54
- Откуда: Москва
- Благодарил (а): 863 раза
- Поблагодарили: 1729 раз
- Контактная информация:
Re: Тверская обл. Ризеншнауцер Бруно, 25.03.2018г.р.
С Бруно к врачу в среду поедет Ира. Но нужен сопровождающий посидеть рядом с собачкой. Я постараюсь, но у меня ч большой долей вероятности будет совещание, избежать участия в котором я не смогу.
_________________
Шнауцеров много не бывает
Шнауцеров много не бывает
-
Не в сети
- Сообщения: 23819
- Зарегистрирован: 11 дек 2006, 11:54
- Откуда: Москва
- Благодарил (а): 863 раза
- Поблагодарили: 1729 раз
- Контактная информация:
Re: Тверская обл. Ризеншнауцер Бруно, 25.03.2018г.р.
Съездили мы с Бруно к врачу. Скажу честно, и врач очень расстроился, увидев состояние шва, и мы с Ирой вслед за врачом. Илья Федорович очень опасался, что свищ дошел до сустава, а это самое плохое осложнение, которое можно себе представить. Забрали Бруняшу, сделали наркоз, рентген под наркозом, всё вычистили, наложили швы. По словам хирурга, внешне пока до сустава не дошло, воспалительный процесс, вызванный разлизанным швом и попаданием туда инфекции, затронул только мягкие ткани. Но бакпосев взяли. Будет готов через 5-10 дней. Ждем и надеемся. А пока продолжаем пить антибиотики, обрабатывать дренаж, который вставили в шов во время операции сегодня, беречь шов как зеницу ока.
Бруно, конечно, очень устал за сегодняшний день. Нервничал, что его опять в клинике оставят. Приехал не передержку, попил, поел и лег спать. Но Лена говорит, что сегодня он вообще на больную ногу не наступает. Надеюсь, это последствие сегодняшних манипуляций.
Бруно, конечно, очень устал за сегодняшний день. Нервничал, что его опять в клинике оставят. Приехал не передержку, попил, поел и лег спать. Но Лена говорит, что сегодня он вообще на больную ногу не наступает. Надеюсь, это последствие сегодняшних манипуляций.
_________________
Шнауцеров много не бывает
Шнауцеров много не бывает
-
Не в сети
- Сообщения: 21413
- Зарегистрирован: 11 янв 2009, 11:20
- Откуда: Москва
- Благодарил (а): 5198 раз
- Поблагодарили: 9342 раза
- Контактная информация:
Re: Тверская обл. Ризеншнауцер Бруно, 25.03.2018г.р.
Присмотрелась к числам, а мне дважды прислали после операционный:(((
А мы радовались и успокоились.
Запросила ещё и вот:((((
Все не здорово....
Когда Бруно снял швы, инфекцию мы таки занесли, и ещё какую....
Синегнойная палочка....
Очень хочется, чтобы это было лабораторной ошибкой.....
Пока нам не хотят менять антибиотик, так как рана закрылась и идёт улучшение.... , но страшно:(
-
Не в сети
- Сообщения: 21413
- Зарегистрирован: 11 янв 2009, 11:20
- Откуда: Москва
- Благодарил (а): 5198 раз
- Поблагодарили: 9342 раза
- Контактная информация:
Re: Тверская обл. Ризеншнауцер Бруно, 25.03.2018г.р.
Нам заменили антибиотик на цефтазидим 1г в/м 2 раза в день, пока на 7 дней.
Можно в/в.
Разводить для в/м нам 3 мл 0,5% новокаина ( при в/в введении на 10 мл физ.раствора).
Причина, по которой я прошу присылать все на почту, именно в том, что мелкий шрифт в ватсапе. Не удобно смотреть ни анализы, ни чего ....
Только переписываться:((((
Вот пришел бы бак.посев на почту, я б скорее внимание на дату обратила...
Потеряли как минимум 3 дня.
Почему не обратил внимание куратор, это другой вопрос. У него поток:(
Можно в/в.
Разводить для в/м нам 3 мл 0,5% новокаина ( при в/в введении на 10 мл физ.раствора).

Причина, по которой я прошу присылать все на почту, именно в том, что мелкий шрифт в ватсапе. Не удобно смотреть ни анализы, ни чего ....
Только переписываться:((((
Вот пришел бы бак.посев на почту, я б скорее внимание на дату обратила...
Потеряли как минимум 3 дня.
Почему не обратил внимание куратор, это другой вопрос. У него поток:(
-
Не в сети
- Сообщения: 2920
- Зарегистрирован: 31 авг 2009, 00:26
- Откуда: Москва
- Благодарил (а): 202 раза
- Поблагодарили: 4647 раз
Re: Тверская обл. Ризеншнауцер Бруно, 25.03.2018г.р.
Просьба вернуть синулокс 4 уп 500 мг, 250 мг 3 уп.
Посылка отправлена. Если гепантин, гератопротектор, игрушки не надо, тоже можно отправить обратно.
У всех поток.
Посылка отправлена. Если гепантин, гератопротектор, игрушки не надо, тоже можно отправить обратно.
У всех поток.
-
Не в сети
- Сообщения: 21413
- Зарегистрирован: 11 янв 2009, 11:20
- Откуда: Москва
- Благодарил (а): 5198 раз
- Поблагодарили: 9342 раза
- Контактная информация:
Re: Тверская обл. Ризеншнауцер Бруно, 25.03.2018г.р.
Габопентин Бруно пить по 4,5 капсулы в день до 3 декабря
Гептор и гептрал, тоже будут использованы
Антибиотик: синулокс и амоксиклав, не пропадет, он останется в фонде. Замена препаратов произошла только после 19 вечера, сегодня.
Куратор, это врач клиники, который отслеживает восстановительный период и осуществляет корректировку лечения, согласовывая ее с оперирующим хирургом.
В целом очень удобная система.....