Тверская обл. Ризеншнауцер Бруно, 25.03.2018г.р.

Ризен из г. Рубежное Луганской обл.

Краткая ветеринарная информация по подопечным Фонда помощи шнауцерам (выжимка без обсуждений)

Модератор: Модераторы регистратуры

  • Автор
  • Сообщение
Не в сети
Аватара пользователя
Сообщения: 21576
Зарегистрирован: 11 янв 2009, 11:20
Откуда: Москва
Благодарил (а): 5328 раз
Поблагодарили: 9638 раз
Контактная информация:

Re: Тверская обл. Ризеншнауцер Бруно, 25.03.2018г.р.

Сообщение zver »

Verbena писал(а): 13 фев 2023, 23:07 А что ответили на вопрос о возможном отторжении протеза?
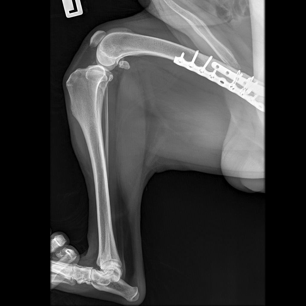
Назначили антибиотики

dar
Не в сети
Аватара пользователя
Сообщения: 23825
Зарегистрирован: 11 дек 2006, 11:54
Откуда: Москва
Благодарил (а): 867 раз
Поблагодарили: 1734 раза
Контактная информация:

Re: Тверская обл. Ризеншнауцер Бруно, 25.03.2018г.р.

Сообщение dar »

Может быть, на фоне антибиотика сразу начать давать фортифлору? Или она снижает эффект антибиотика?
_________________
Шнауцеров много не бывает

Не в сети
Аватара пользователя
Сообщения: 21576
Зарегистрирован: 11 янв 2009, 11:20
Откуда: Москва
Благодарил (а): 5328 раз
Поблагодарили: 9638 раз
Контактная информация:

Re: Тверская обл. Ризеншнауцер Бруно, 25.03.2018г.р.

Сообщение zver »

Думаю не снижает эффективность, но смысла мало.
Если будет проблема с жкт, будем думать

Не в сети
Аватара пользователя
Сообщения: 21576
Зарегистрирован: 11 янв 2009, 11:20
Откуда: Москва
Благодарил (а): 5328 раз
Поблагодарили: 9638 раз
Контактная информация:

Re: Тверская обл. Ризеншнауцер Бруно, 25.03.2018г.р.

Сообщение zver »

D44D94F0-4FAE-4206-846A-F1875E264EC7.jpeg

Не в сети
Аватара пользователя
Сообщения: 21576
Зарегистрирован: 11 янв 2009, 11:20
Откуда: Москва
Благодарил (а): 5328 раз
Поблагодарили: 9638 раз
Контактная информация:

Re: Тверская обл. Ризеншнауцер Бруно, 25.03.2018г.р.

Сообщение zver »

19.05.2023
AE204470-3B02-4D62-815E-E5C3C7184902.jpeg
9E4AE0B8-28E4-4535-B495-DBEECB0BD50F.jpeg
07F87261-DDE8-4E5B-B207-F2C6F5CA481E.jpeg
65EEDE31-9619-481B-A18A-A972D3C63713.jpeg

Не в сети
Аватара пользователя
Сообщения: 21576
Зарегистрирован: 11 янв 2009, 11:20
Откуда: Москва
Благодарил (а): 5328 раз
Поблагодарили: 9638 раз
Контактная информация:

Re: Тверская обл. Ризеншнауцер Бруно, 25.03.2018г.р.

Сообщение zver »

Бруно начал неделю как хромать.
ИФ в отпуске
Благодаря куратору, прорвались к его постоянной ассистенте Васильевой.
Тьфу тьфу, все в порядке.
Предположили какую то неврологию, не суставы.
Мокроусова с Бруно (2)-min.JPEG
Мокроусова с Бруно (3)-min (1).JPEG
Мокроусова с Бруно (4)-min.JPEG
Мокроусова с Бруно (1)-min (1).JPEG

dar
Не в сети
Аватара пользователя
Сообщения: 23825
Зарегистрирован: 11 дек 2006, 11:54
Откуда: Москва
Благодарил (а): 867 раз
Поблагодарили: 1734 раза
Контактная информация:

Re: Тверская обл. Ризеншнауцер Бруно, 25.03.2018г.р.

Сообщение dar »

Слава богу. Он не поправился? Вес не прибавил?
_________________
Шнауцеров много не бывает

Не в сети
Аватара пользователя
Сообщения: 21576
Зарегистрирован: 11 янв 2009, 11:20
Откуда: Москва
Благодарил (а): 5328 раз
Поблагодарили: 9638 раз
Контактная информация:

Re: Тверская обл. Ризеншнауцер Бруно, 25.03.2018г.р.

Сообщение zver »

Мил, я не спрашивала об этом Лену

Не в сети
Аватара пользователя
Сообщения: 12147
Зарегистрирован: 02 ноя 2017, 12:27
Откуда: Санкт-Петербург
Благодарил (а): 6041 раз
Поблагодарили: 23101 раз

Re: Тверская обл. Ризеншнауцер Бруно, 25.03.2018г.р.

Сообщение friedlein »

Анализы
Вложения
IMG_20231104_180239.jpg
IMG_20231104_180211.jpg
_________________
Добрым словом и пистолетом можно добиться гораздо большего, чем просто добрым словом.

dar
Не в сети
Аватара пользователя
Сообщения: 23825
Зарегистрирован: 11 дек 2006, 11:54
Откуда: Москва
Благодарил (а): 867 раз
Поблагодарили: 1734 раза
Контактная информация:

Re: Тверская обл. Ризеншнауцер Бруно, 25.03.2018г.р.

Сообщение dar »

А анализы просто пошли сдавать по графику или что-то напрягло?
_________________
Шнауцеров много не бывает

Не в сети
Аватара пользователя
Сообщения: 21576
Зарегистрирован: 11 янв 2009, 11:20
Откуда: Москва
Благодарил (а): 5328 раз
Поблагодарили: 9638 раз
Контактная информация:

Re: Тверская обл. Ризеншнауцер Бруно, 25.03.2018г.р.

Сообщение zver »

Вчера резко захромал, встал на 3 ноги и понос.
По рентгену чисто
В понедельник КТ

dar
Не в сети
Аватара пользователя
Сообщения: 23825
Зарегистрирован: 11 дек 2006, 11:54
Откуда: Москва
Благодарил (а): 867 раз
Поблагодарили: 1734 раза
Контактная информация:

Re: Тверская обл. Ризеншнауцер Бруно, 25.03.2018г.р.

Сообщение dar »

И по крови чисто
_________________
Шнауцеров много не бывает

Не в сети
Аватара пользователя
Сообщения: 21576
Зарегистрирован: 11 янв 2009, 11:20
Откуда: Москва
Благодарил (а): 5328 раз
Поблагодарили: 9638 раз
Контактная информация:

Re: Тверская обл. Ризеншнауцер Бруно, 25.03.2018г.р.

Сообщение zver »

Вечером температура была 39,9. Бруно положили в стационар, так как снять боли в домашних условиях не получилось.
Боль ( а с ней и высокое давление и большую температуру) удалось снять только опиоидами ( наркотическими препаратами).
Экспресс анализ на парво и короновирусный энтерит отрицательные ( но и так понятно, что не в них дело).

Изображение
Изображение

Изображение
Изображение
Изображение
Изображение
Изображение
Изображение

Не в сети
Аватара пользователя
Сообщения: 12147
Зарегистрирован: 02 ноя 2017, 12:27
Откуда: Санкт-Петербург
Благодарил (а): 6041 раз
Поблагодарили: 23101 раз

Re: Тверская обл. Ризеншнауцер Бруно, 25.03.2018г.р.

Сообщение friedlein »

Изображение
Изображение
Изображение
Изображение
Изображение
Изображение
_________________
Добрым словом и пистолетом можно добиться гораздо большего, чем просто добрым словом.

Не в сети
Аватара пользователя
Сообщения: 21576
Зарегистрирован: 11 янв 2009, 11:20
Откуда: Москва
Благодарил (а): 5328 раз
Поблагодарили: 9638 раз
Контактная информация:

Re: Тверская обл. Ризеншнауцер Бруно, 25.03.2018г.р.

Сообщение zver »

Филиал Троицк СВЦ "МЕДВЕТ"
ИНН:772804294460 КПП:
108840, г. Москва, ГО Троицк, ул. Физическая, дом 13
СВЦ "МЕДВЕТ" телефон 8(499)110-66-86 troick@med-vet.ru
22-005-007097

QMUZ1-24-005-098807

22.12.2024
Код амбулаторной карты

Номер документа

Дата документа
Заключение УЗИ
Информация по владельцу Мокроусова Ирина Владимировна
+79037395049
Информация по животному Бруно ,собака ,Ризеншнауцер
Возраст 6 лет 6 мес 19 дн
ПЕЧЕНЬ:
Размер: не увеличена
Вентральный край: острый , не выходит за край реберной дуги
Kонтуры четкие ровные
Эхогенность паренихмы повышена относительно жира серповидной связки
сосуды и протоки:
V.Porta не изменена
V.Cava не изменена
d.choledochus не изменен
внутрипеченочные протоки: не расширены
прочее: Паренхима печени повышена




ЖЕЛЧНЫЙ ПУЗЫРЬ:
степень наполнения умеренно наполнен
форма грушевидная
содержимое анэхогенное
осадок не визуализируется
структурные деформации нет
ПОДЖЕЛУДОЧНАЯ ЖЕЛЕЗА
визуализация визуализируется
ширина, мм не утолщена
эхогенность паренихмы эхогенная
структура однородная
СЕЛЕЗЕНКА
размер не увеличена
расположение типичное
структура неоднородная
сосуды не расширены
Объемные образования не выявлены
прочее паренхима органа неоднородная
ПОЧКА ЛЕВАЯ
визуализация визуализируется
размер соответствует физиологической норме
длина, мм 56
ширина, мм 30
контуры четкие ровные
КМД выражена
Корковый слой не изменен
Эхогенность лоханки не изменена
прочее Мочеточник не расширен.




ПОЧКА ПРАВАЯ
визуализация визуализируется
размер соответствует физиологической норме
длина, мм 55
ширина, мм 33
контуры четкие ровные
КМД выражена
Корковый слой не изменен
Эхогенность лоханки не изменена
прочее Мочеточник не расширен.




МОЧЕВОЙ ПУЗЫРЬ
степень наполнения выраженно наполнен
толщина стенки,мм: 1.5мм
поверхность слизистой ровная
содержимое анэхогенное
осадок не визуализируется
Конкременты не визуализируются
прочее Уретра не расширена.




ПРЕДСТАТЕЛЬНАЯ ЖЕЛЕЗА
размер не увеличена
контуры ровные четкие
эхоструктура неоднородная
эхогенность паренихмы смешанная
Объемные образования визуализируются
Кол-во множественные
Прочее Паренхима предстательной железы неоднородна, гиперэхогенная паренхима с наличием множественных кист .
Семенники в области анатомического расположения, овальные,паренхима однородна,окружен гиперэхогенной капсулой, придаток анэхогенный,однородный




НАДПОЧЕЧНИКИ
Правый надпочечник визуализация затруднена




Левый надпочечник Гипоэхогенный, не изменен.




СВОБОДНАЯ ЖИДКОСТЬ И ЖКТ
Прочие изменения
Сальник не изменен.
Лимфоузлы не изменены.




Желудочно-кишечный тракт Желудок - просвет умеренно заполнен газом, стенки не изменены, соотношение и эхогенность слоев в норме, перистальтика сохранена, кардиальный и пилорический сфинктеры без особенностей. Тонкий кишечник (в том числе, двенадцатиперстная и подвздошная петли кишечника) - просвет спавшийся или умеренно заполнен газом, перистальтика сохранена, соотношение и эхогенность слоев в норме. Илеоцекальное соединение без особенностей. Слепая кишка - стенка не утолщена, фолликулярный слой не изменен. Ободочная кишка - стенка до 1,5 мм, просвет заполнен газом и гиперэхогенным содержимым.




ЗАКЛЮЧЕНИЕ
Признаки:
1.Диффузных изменений печени, которые могут быть следствием холангиогепатита или липидоза, менее вероятны другие вакуолярные гепатопатии, диффузная неоплазия.
2.Диффузных изменений селезенки - данная картина может встречаться при экстрамедулярном гемапоэзе нодулярной гиперпазии, сплените, менее вероятно, диффузной неоплазии.
3.Диффузных изменений предстательной железы с наличием мелких интрапростатических кист - подозрение на доброкачественную гиперплазию




Врач: Удрис Софья Игоревна

Подпись


--
С Уважением,
Сеть Ветеринарных Центров "МЕДВЕТ" ф-л "Троицк"
Москва ,Троицк ул.Физическая 13
+7(499) 110-66-86
troick@med-vet.ru

Не в сети
Аватара пользователя
Сообщения: 12147
Зарегистрирован: 02 ноя 2017, 12:27
Откуда: Санкт-Петербург
Благодарил (а): 6041 раз
Поблагодарили: 23101 раз

Re: Тверская обл. Ризеншнауцер Бруно, 25.03.2018г.р.

Сообщение friedlein »

Анализы
Вложения
IMG_20250207_212147.jpg
IMG_20250207_132300.jpg
IMG_20250207_121251.jpg
IMG_20250207_121156.jpg
IMG_20250207_121212.jpg
_________________
Добрым словом и пистолетом можно добиться гораздо большего, чем просто добрым словом.

Не в сети
Аватара пользователя
Сообщения: 12147
Зарегистрирован: 02 ноя 2017, 12:27
Откуда: Санкт-Петербург
Благодарил (а): 6041 раз
Поблагодарили: 23101 раз

Re: Тверская обл. Ризеншнауцер Бруно, 25.03.2018г.р.

Сообщение friedlein »

Выписка
Вложения
IMG-20250208-WA0004.jpg
IMG-20250208-WA0003.jpg
_________________
Добрым словом и пистолетом можно добиться гораздо большего, чем просто добрым словом.

Не в сети
Аватара пользователя
Сообщения: 12147
Зарегистрирован: 02 ноя 2017, 12:27
Откуда: Санкт-Петербург
Благодарил (а): 6041 раз
Поблагодарили: 23101 раз

Re: Тверская обл. Ризеншнауцер Бруно, 25.03.2018г.р.

Сообщение friedlein »

Моча бак посев
Вложения
IMG_20250211_165910.jpg
_________________
Добрым словом и пистолетом можно добиться гораздо большего, чем просто добрым словом.

Не в сети
Аватара пользователя
Сообщения: 12147
Зарегистрирован: 02 ноя 2017, 12:27
Откуда: Санкт-Петербург
Благодарил (а): 6041 раз
Поблагодарили: 23101 раз

Re: Тверская обл. Ризеншнауцер Бруно, 25.03.2018г.р.

Сообщение friedlein »

Вот она, попалась :box:
Вложения
IMG_20250213_220123.jpg
_________________
Добрым словом и пистолетом можно добиться гораздо большего, чем просто добрым словом.

Не в сети
Аватара пользователя
Сообщения: 21576
Зарегистрирован: 11 янв 2009, 11:20
Откуда: Москва
Благодарил (а): 5328 раз
Поблагодарили: 9638 раз
Контактная информация:

Re: Тверская обл. Ризеншнауцер Бруно, 25.03.2018г.р.

Сообщение zver »

Здравствуйте, с. Бруно по плану перед началом курса Амикацина
- Контроль крови БХ( Мочевина, креатинин, фосфор)
- Анализ мочи соотношение ГГТ\Креатинин
При отс. противопоказаний:
- Амикацин 1 гр(1000мг) Ампула - развести в 5 мл натрия хлорида 0.9% набрать 3 мл внутримышечно 1 раз в сутки до отмены Васильевой Е.А. ( Минимальный курс 6 недель)
После начала курса Амикацина необходим контроль
- Анализ мочи ГГТ//Креатинин 1 раз в 3 дня.
По плану через 3 недели записаться к Васильевой Евгении Александровне на забор материала на цитологию и бактериологический посев повторно в динамике.
Ответить

Вернуться в «Регистратура»