Тверская обл. Ризеншнауцер Бруно, 25.03.2018г.р.

Ризен из г. Рубежное Луганской обл.

Краткая ветеринарная информация по подопечным Фонда помощи шнауцерам (выжимка без обсуждений)

Модератор: Модераторы регистратуры

  • Автор
  • Сообщение
Не в сети
Аватара пользователя
Сообщения: 21573
Зарегистрирован: 11 янв 2009, 11:20
Откуда: Москва
Благодарил (а): 5328 раз
Поблагодарили: 9633 раза
Контактная информация:

Re: Тверская обл. Ризеншнауцер Бруно, 25.03.2018г.р.

Сообщение zver »

Да

Швы Наталья сняла дома. Шов хороший. Бруно им не интересуется.

Не в сети
Аватара пользователя
Сообщения: 21573
Зарегистрирован: 11 янв 2009, 11:20
Откуда: Москва
Благодарил (а): 5328 раз
Поблагодарили: 9633 раза
Контактная информация:

Re: Тверская обл. Ризеншнауцер Бруно, 25.03.2018г.р.

Сообщение zver »

26 августа к 10 утра голодными, нас ждут на контрольный рентген в клинике на Вернадского.
Рентген будет под седацией

Не в сети
Аватара пользователя
Сообщения: 21573
Зарегистрирован: 11 янв 2009, 11:20
Откуда: Москва
Благодарил (а): 5328 раз
Поблагодарили: 9633 раза
Контактная информация:

Re: Тверская обл. Ризеншнауцер Бруно, 25.03.2018г.р.

Сообщение zver »

Уши Бруно чистят ПреОтик АВ. Сказала по состоянию, сейчас там хорошо, хотя одно ухо чуть розовее другого.

Проблема с крайней плотью вполне может быть из-за молочницы ( кандидомикоза), так как в общей сложности 1,5 месяца пили антибиотики.
Попросила купить флюконазол / флюкостат 50 мг и пропить по 2 таблетки 2 раза в день 14 дней. Через неделю сказать, есть ли изменения.
Поспринцевать принца хлоргекседином 1 раз в день 7 дней.

Постирать товарища в дегтярном шампуне или с хлоргекседином 4-5%

Подавать карсил по 2 табл 2 раза в день 1,5 месяца
Серу на кончике ножа 2 раза в день 3 недели
Рыбий жир по 1 чайной ложке 2 раза в день 3 недели.

Ну и нам пожелали не успеть сломать шейку бедра второй лапы до операции

Прививку решили отложить на потом.

Не в сети
Аватара пользователя
Сообщения: 21573
Зарегистрирован: 11 янв 2009, 11:20
Откуда: Москва
Благодарил (а): 5328 раз
Поблагодарили: 9633 раза
Контактная информация:

Re: Тверская обл. Ризеншнауцер Бруно, 25.03.2018г.р.

Сообщение zver »

F37B4905-A77F-43B7-A3A7-4AAD9E739F82.jpeg
E6A744CC-768F-480D-8917-7FDAD53F05BD.jpeg
DA1A1524-BA63-434B-95BE-C121F7D5334F.jpeg
4D4A6426-4FE5-4417-ACCB-6DE53B57B90E.jpeg

Не в сети
Аватара пользователя
Сообщения: 21573
Зарегистрирован: 11 янв 2009, 11:20
Откуда: Москва
Благодарил (а): 5328 раз
Поблагодарили: 9633 раза
Контактная информация:

Re: Тверская обл. Ризеншнауцер Бруно, 25.03.2018г.р.

Сообщение zver »

E358D56E-67BF-4D4C-B3F0-BF8F4089D7A2.jpeg
767DD36C-E2E2-41FB-9CCF-6940421D2BB2.jpeg
701487DA-D6D9-4CE0-B18B-EEB120E78EF2.jpeg
Мы ничего не оплачивали. Все включено.
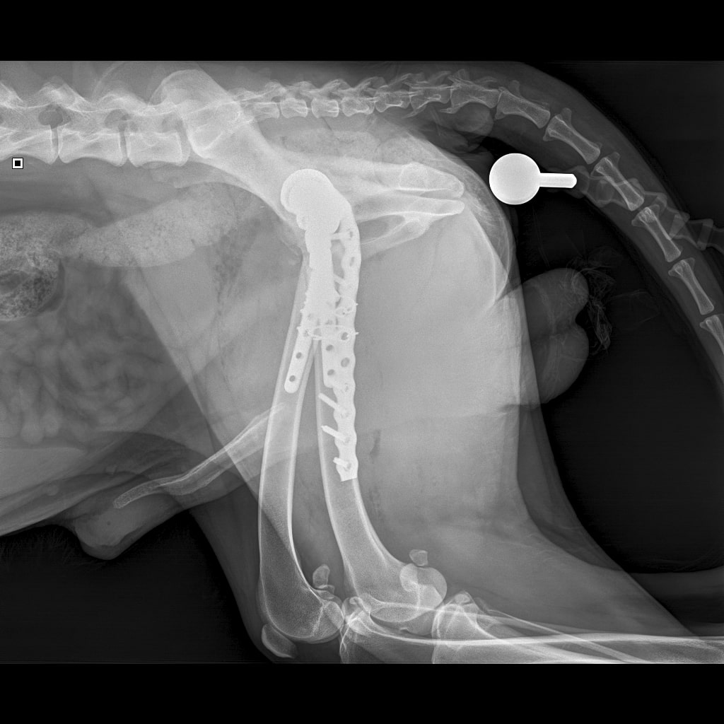
За время противовоспалительной терапии снизилось воспаление и в левом тазобедренном суставе, но увы, форма головки бедренной кости и состояние шейки бедра , лучше не стали:(((
Операция однозначно нужна.

dar
Не в сети
Аватара пользователя
Сообщения: 23825
Зарегистрирован: 11 дек 2006, 11:54
Откуда: Москва
Благодарил (а): 867 раз
Поблагодарили: 1734 раза
Контактная информация:

Re: Тверская обл. Ризеншнауцер Бруно, 25.03.2018г.р.

Сообщение dar »

Снимки столь качественные, что их можно в учебник
_________________
Шнауцеров много не бывает

Не в сети
Аватара пользователя
Сообщения: 21573
Зарегистрирован: 11 янв 2009, 11:20
Откуда: Москва
Благодарил (а): 5328 раз
Поблагодарили: 9633 раза
Контактная информация:

Re: Тверская обл. Ризеншнауцер Бруно, 25.03.2018г.р.

Сообщение zver »

3B837D18-B944-49EF-8810-07B295A30880.jpeg
Решили пересдать в другой лаборатории

Не в сети
Аватара пользователя
Сообщения: 21573
Зарегистрирован: 11 янв 2009, 11:20
Откуда: Москва
Благодарил (а): 5328 раз
Поблагодарили: 9633 раза
Контактная информация:

Re: Тверская обл. Ризеншнауцер Бруно, 25.03.2018г.р.

Сообщение zver »

41F52E00-1932-415E-ABE1-BD6D053887B1.jpeg
7BD486AF-B173-4679-A908-A336F6BE6C73.jpeg
Эти анализы анестезиолог одобрил
До операции решили товарища проглистогонить и поколоть B12.

Не в сети
Аватара пользователя
Сообщения: 21573
Зарегистрирован: 11 янв 2009, 11:20
Откуда: Москва
Благодарил (а): 5328 раз
Поблагодарили: 9633 раза
Контактная информация:

Re: Тверская обл. Ризеншнауцер Бруно, 25.03.2018г.р.

Сообщение zver »

Перевели все собранные на Бруно деньги на счет клиники.
Готовимся ко второй операции 3 октября
AFE1C7F9-2932-4AC5-9A34-01016BEEA850.jpeg

Не в сети
Аватара пользователя
Сообщения: 21573
Зарегистрирован: 11 янв 2009, 11:20
Откуда: Москва
Благодарил (а): 5328 раз
Поблагодарили: 9633 раза
Контактная информация:

Re: Тверская обл. Ризеншнауцер Бруно, 25.03.2018г.р.

Сообщение zver »

IMG-20221005-WA0005.jpg
IMG-20221005-WA0006.jpg
IMG-20221005-WA0007.jpg

Не в сети
Аватара пользователя
Сообщения: 21573
Зарегистрирован: 11 янв 2009, 11:20
Откуда: Москва
Благодарил (а): 5328 раз
Поблагодарили: 9633 раза
Контактная информация:

Re: Тверская обл. Ризеншнауцер Бруно, 25.03.2018г.р.

Сообщение zver »

8A836050-66CA-42B2-94D3-F13B288A592B.jpeg
39B2671E-39B9-4502-9E11-ADB169612F24.jpeg
6950B9C9-79EA-4F34-A780-9C3C6BA31B49.jpeg
58C20B18-AA4E-4386-BF83-56CE5E282844.jpeg
Наш металлический мальчик

dar
Не в сети
Аватара пользователя
Сообщения: 23825
Зарегистрирован: 11 дек 2006, 11:54
Откуда: Москва
Благодарил (а): 867 раз
Поблагодарили: 1734 раза
Контактная информация:

Re: Тверская обл. Ризеншнауцер Бруно, 25.03.2018г.р.

Сообщение dar »

Железный дровосек
_________________
Шнауцеров много не бывает

Не в сети
Аватара пользователя
Сообщения: 21573
Зарегистрирован: 11 янв 2009, 11:20
Откуда: Москва
Благодарил (а): 5328 раз
Поблагодарили: 9633 раза
Контактная информация:

Re: Тверская обл. Ризеншнауцер Бруно, 25.03.2018г.р.

Сообщение zver »

Пришел бак.посев.
Все чисто
IMG-20221017-WA0003.jpg
Но похоже есть свищ, не заживает нормально шов, подтекает лимфа.
В среду надо показаться Илье Федоровичу.
IMG-20221016-WA0024.jpg

dar
Не в сети
Аватара пользователя
Сообщения: 23825
Зарегистрирован: 11 дек 2006, 11:54
Откуда: Москва
Благодарил (а): 867 раз
Поблагодарили: 1734 раза
Контактная информация:

Re: Тверская обл. Ризеншнауцер Бруно, 25.03.2018г.р.

Сообщение dar »

С Бруно к врачу в среду поедет Ира. Но нужен сопровождающий посидеть рядом с собачкой. Я постараюсь, но у меня ч большой долей вероятности будет совещание, избежать участия в котором я не смогу.
_________________
Шнауцеров много не бывает

dar
Не в сети
Аватара пользователя
Сообщения: 23825
Зарегистрирован: 11 дек 2006, 11:54
Откуда: Москва
Благодарил (а): 867 раз
Поблагодарили: 1734 раза
Контактная информация:

Re: Тверская обл. Ризеншнауцер Бруно, 25.03.2018г.р.

Сообщение dar »

Съездили мы с Бруно к врачу. Скажу честно, и врач очень расстроился, увидев состояние шва, и мы с Ирой вслед за врачом. Илья Федорович очень опасался, что свищ дошел до сустава, а это самое плохое осложнение, которое можно себе представить. Забрали Бруняшу, сделали наркоз, рентген под наркозом, всё вычистили, наложили швы. По словам хирурга, внешне пока до сустава не дошло, воспалительный процесс, вызванный разлизанным швом и попаданием туда инфекции, затронул только мягкие ткани. Но бакпосев взяли. Будет готов через 5-10 дней. Ждем и надеемся. А пока продолжаем пить антибиотики, обрабатывать дренаж, который вставили в шов во время операции сегодня, беречь шов как зеницу ока.
Бруно, конечно, очень устал за сегодняшний день. Нервничал, что его опять в клинике оставят. Приехал не передержку, попил, поел и лег спать. Но Лена говорит, что сегодня он вообще на больную ногу не наступает. Надеюсь, это последствие сегодняшних манипуляций.
Вложения
IMG-20221019-WA0009.jpg
IMG-20221019-WA0008.jpg
бедолажка.jpg
бедолажка.jpg (99.4 КБ) 9098 просмотров
_________________
Шнауцеров много не бывает

Не в сети
Аватара пользователя
Сообщения: 21573
Зарегистрирован: 11 янв 2009, 11:20
Откуда: Москва
Благодарил (а): 5328 раз
Поблагодарили: 9633 раза
Контактная информация:

Re: Тверская обл. Ризеншнауцер Бруно, 25.03.2018г.р.

Сообщение zver »

70EBDD85-9327-4394-8275-849384DE26DA.jpeg
682E4095-1285-41D9-BE0F-56352F8FAF0B.jpeg

Не в сети
Аватара пользователя
Сообщения: 21573
Зарегистрирован: 11 янв 2009, 11:20
Откуда: Москва
Благодарил (а): 5328 раз
Поблагодарили: 9633 раза
Контактная информация:

Re: Тверская обл. Ризеншнауцер Бруно, 25.03.2018г.р.

Сообщение zver »

IMG-20221030-WA0014.jpg
Стала выкладывать посев от 19 октября, и все не тот.
Присмотрелась к числам, а мне дважды прислали после операционный:(((
А мы радовались и успокоились.
Запросила ещё и вот:((((
Все не здорово....
Когда Бруно снял швы, инфекцию мы таки занесли, и ещё какую....
Синегнойная палочка....
Очень хочется, чтобы это было лабораторной ошибкой.....
Пока нам не хотят менять антибиотик, так как рана закрылась и идёт улучшение.... , но страшно:(

Не в сети
Аватара пользователя
Сообщения: 21573
Зарегистрирован: 11 янв 2009, 11:20
Откуда: Москва
Благодарил (а): 5328 раз
Поблагодарили: 9633 раза
Контактная информация:

Re: Тверская обл. Ризеншнауцер Бруно, 25.03.2018г.р.

Сообщение zver »

Нам заменили антибиотик на цефтазидим 1г в/м 2 раза в день, пока на 7 дней.
Можно в/в.
Разводить для в/м нам 3 мл 0,5% новокаина ( при в/в введении на 10 мл физ.раствора).

:off:

Причина, по которой я прошу присылать все на почту, именно в том, что мелкий шрифт в ватсапе. Не удобно смотреть ни анализы, ни чего ....
Только переписываться:((((
Вот пришел бы бак.посев на почту, я б скорее внимание на дату обратила...
Потеряли как минимум 3 дня.
Почему не обратил внимание куратор, это другой вопрос. У него поток:(

Iro
Не в сети
Аватара пользователя
Сообщения: 2924
Зарегистрирован: 31 авг 2009, 00:26
Откуда: Москва
Благодарил (а): 204 раза
Поблагодарили: 4663 раза

Re: Тверская обл. Ризеншнауцер Бруно, 25.03.2018г.р.

Сообщение Iro »

Просьба вернуть синулокс 4 уп 500 мг, 250 мг 3 уп.
Посылка отправлена. Если гепантин, гератопротектор, игрушки не надо, тоже можно отправить обратно.
У всех поток.

Не в сети
Аватара пользователя
Сообщения: 21573
Зарегистрирован: 11 янв 2009, 11:20
Откуда: Москва
Благодарил (а): 5328 раз
Поблагодарили: 9633 раза
Контактная информация:

Re: Тверская обл. Ризеншнауцер Бруно, 25.03.2018г.р.

Сообщение zver »

Iro писал(а): 30 окт 2022, 23:08 Просьба вернуть синулокс 4 уп 500 мг, 250 мг 3 уп.
Посылка отправлена. Если гепантин, гератопротектор, игрушки не надо, тоже можно отправить обратно.
У всех поток.
Габопентин Бруно пить по 4,5 капсулы в день до 3 декабря
Гептор и гептрал, тоже будут использованы
Антибиотик: синулокс и амоксиклав, не пропадет, он останется в фонде. Замена препаратов произошла только после 19 вечера, сегодня.

Куратор, это врач клиники, который отслеживает восстановительный период и осуществляет корректировку лечения, согласовывая ее с оперирующим хирургом.
В целом очень удобная система.....
Ответить

Вернуться в «Регистратура»