Москва. Ризен Арчи из Уфы, 5 лет

Краткая ветеринарная информация по подопечным Фонда помощи шнауцерам (выжимка без обсуждений)

Модератор: Модераторы регистратуры

  • Автор
  • Сообщение
Не в сети
Аватара пользователя
Сообщения: 12147
Зарегистрирован: 02 ноя 2017, 12:27
Откуда: Санкт-Петербург
Благодарил (а): 6041 раз
Поблагодарили: 23098 раз

Москва. Ризен Арчи из Уфы, 5 лет

Сообщение friedlein »

Анализы.
Дирофиляриоз положительный
Вложения
IMG-20220716-WA0008.jpg
IMG-20220716-WA0009.jpg
IMG-20220716-WA0010.jpg
IMG-20220716-WA0011.jpg
_________________
Добрым словом и пистолетом можно добиться гораздо большего, чем просто добрым словом.

Не в сети
Аватара пользователя
Сообщения: 21574
Зарегистрирован: 11 янв 2009, 11:20
Откуда: Москва
Благодарил (а): 5328 раз
Поблагодарили: 9633 раза
Контактная информация:

Re: Москва. Ризен Арчи из Уфы, 5 лет

Сообщение zver »

Если передержка умеет колоть, то может проще купить ивермектин по 1 мл , чтоб долго открытым не стоял, 3-4 флакона?
Колем в дозе 0,006 мг/кг живого веса. Обычно в 1 мл 10 мг, но надо внимательно проверять. Колем в/м так же раз в месяц
Расчет простой :
1мл 10 мг
Х 0,006мг

1*0,006/10= 0,0006 мл на 1 кг
Если вес собаки 38 кг, то 0,0006*38=0,0228 мл разовая доза
Несколько флаконов только потому, что даже при взятии через резиновую пробку флакон считается вскрытым и использован должен быть в течении месяца .

Ну и как всегда :
Юнидокс солютаб 5мг/кг на 28 дней ( если ничего другого не вылезет)
Преднезалон как минимум на первые 2 дня из расчета 1 мг на кг веса ( в ампуле 30 мг)

Хорошо бы рентген легких и эхо сердца.

Не в сети
Аватара пользователя
Сообщения: 8834
Зарегистрирован: 10 ноя 2013, 22:36
Благодарил (а): 566 раз
Поблагодарили: 4665 раз

Re: Москва. Ризен Арчи из Уфы, 5 лет

Сообщение Дима »

Анализ мочи " Подтянулся" :laugh:
Вложения
IMG-20220717-WA0040.jpg

Не в сети
Аватара пользователя
Сообщения: 21574
Зарегистрирован: 11 янв 2009, 11:20
Откуда: Москва
Благодарил (а): 5328 раз
Поблагодарили: 9633 раза
Контактная информация:

Re: Москва. Ризен Арчи из Уфы, 5 лет

Сообщение zver »

Ну так как сейчас все равно будем антибиотики пить, надеюсь кровь уйдет.

Не в сети
Аватара пользователя
Сообщения: 21574
Зарегистрирован: 11 янв 2009, 11:20
Откуда: Москва
Благодарил (а): 5328 раз
Поблагодарили: 9633 раза
Контактная информация:

Re: Москва. Ризен Арчи из Уфы, 5 лет

Сообщение zver »

В целом можно попробовать использовать диронет по весу, как первую обработку от диро.
Также страхуемся преднезалоном и начинаем юнидокс солютаб

Не в сети
Аватара пользователя
Сообщения: 8834
Зарегистрирован: 10 ноя 2013, 22:36
Благодарил (а): 566 раз
Поблагодарили: 4665 раз

Re: Москва. Ризен Арчи из Уфы, 5 лет

Сообщение Дима »

Анализы Арчи. Сердца и легких
Вложения
IMG-20220719-WA0100.jpg
IMG-20220719-WA0102.jpg
IMG-20220719-WA0104.jpg
IMG-20220719-WA0103.jpg
IMG-20220719-WA0105.jpg

Не в сети
Аватара пользователя
Сообщения: 8834
Зарегистрирован: 10 ноя 2013, 22:36
Благодарил (а): 566 раз
Поблагодарили: 4665 раз

Re: Москва. Ризен Арчи из Уфы, 5 лет

Сообщение Дима »

Продолжение.
Вложения
IMG-20220719-WA0097.jpg
IMG-20220719-WA0096.jpg
IMG-20220719-WA0099.jpg
IMG-20220719-WA0098.jpg
IMG-20220719-WA0101.jpg

Не в сети
Аватара пользователя
Сообщения: 8834
Зарегистрирован: 10 ноя 2013, 22:36
Благодарил (а): 566 раз
Поблагодарили: 4665 раз

Re: Москва. Ризен Арчи из Уфы, 5 лет

Сообщение Дима »

Еще
Вложения
IMG-20220719-WA0091.jpg
IMG-20220719-WA0092.jpg
IMG-20220719-WA0093.jpg
IMG-20220719-WA0094.jpg
IMG-20220719-WA0095.jpg

Не в сети
Аватара пользователя
Сообщения: 8834
Зарегистрирован: 10 ноя 2013, 22:36
Благодарил (а): 566 раз
Поблагодарили: 4665 раз

Re: Москва. Ризен Арчи из Уфы, 5 лет

Сообщение Дима »

Еще
Вложения
IMG-20220719-WA0052.jpg
IMG-20220719-WA0054.jpg
IMG-20220719-WA0055.jpg
IMG-20220719-WA0090.jpg
IMG-20220719-WA0089.jpg

Не в сети
Аватара пользователя
Сообщения: 8834
Зарегистрирован: 10 ноя 2013, 22:36
Благодарил (а): 566 раз
Поблагодарили: 4665 раз

Re: Москва. Ризен Арчи из Уфы, 5 лет

Сообщение Дима »

И чуток
Вложения
IMG-20220719-WA0053.jpg

Не в сети
Аватара пользователя
Сообщения: 21574
Зарегистрирован: 11 янв 2009, 11:20
Откуда: Москва
Благодарил (а): 5328 раз
Поблагодарили: 9633 раза
Контактная информация:

Re: Москва. Ризен Арчи из Уфы, 5 лет

Сообщение zver »

Ась, он начал курс от дирофиляриоза?

Не в сети
Аватара пользователя
Сообщения: 8834
Зарегистрирован: 10 ноя 2013, 22:36
Благодарил (а): 566 раз
Поблагодарили: 4665 раз

Re: Москва. Ризен Арчи из Уфы, 5 лет

Сообщение Дима »

zver писал(а): 08 авг 2022, 18:37 Ась, он начал курс от дирофиляриоза?
Конечно!!!!
Ира, может ему купить омез, а то столько антибиотика, чтобы желудок не поехал.
И второй раз чем обрабатывать диронетов, адвокатом?

Не в сети
Аватара пользователя
Сообщения: 21574
Зарегистрирован: 11 янв 2009, 11:20
Откуда: Москва
Благодарил (а): 5328 раз
Поблагодарили: 9633 раза
Контактная информация:

Re: Москва. Ризен Арчи из Уфы, 5 лет

Сообщение zver »

Не надо омез без причины. Юнидокс солютаб мягкий для желудка.
Все равно чем, у нас весь выбор из 2-х действующих веществ

Не в сети
Аватара пользователя
Сообщения: 8834
Зарегистрирован: 10 ноя 2013, 22:36
Благодарил (а): 566 раз
Поблагодарили: 4665 раз

Re: Москва. Ризен Арчи из Уфы, 5 лет

Сообщение Дима »

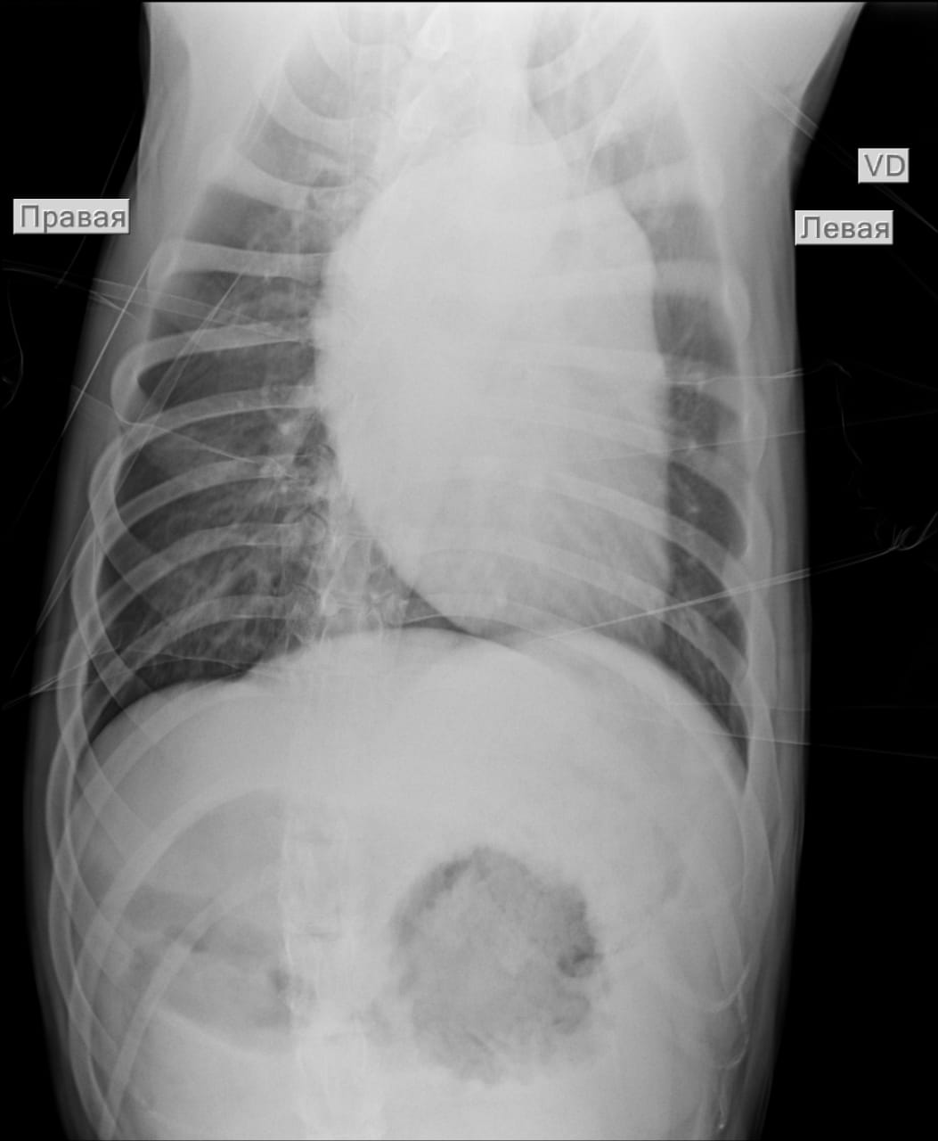
Сегодня Арчуна Ирина возила на рентген легких и сдали анализ мочи. Результат анализа мочи готов будет завтра. Рентген легких выставляю.
Ирина, ждем твоего вердикта по рентгена и можно ли нам готовить Арчи к операции по глазам.
Антибиотика курс пропили.
Вложения
IMG-20220823-WA0024.jpg
IMG-20220823-WA0025.jpg
IMG-20220823-WA0026.jpg

Не в сети
Аватара пользователя
Сообщения: 21574
Зарегистрирован: 11 янв 2009, 11:20
Откуда: Москва
Благодарил (а): 5328 раз
Поблагодарили: 9633 раза
Контактная информация:

Re: Москва. Ризен Арчи из Уфы, 5 лет

Сообщение zver »

Лучше чем было, но явно не норма:(

Не в сети
Аватара пользователя
Сообщения: 8834
Зарегистрирован: 10 ноя 2013, 22:36
Благодарил (а): 566 раз
Поблагодарили: 4665 раз

Re: Москва. Ризен Арчи из Уфы, 5 лет

Сообщение Дима »

Ира, а что тогда дальше делаем?

Не в сети
Аватара пользователя
Сообщения: 8834
Зарегистрирован: 10 ноя 2013, 22:36
Благодарил (а): 566 раз
Поблагодарили: 4665 раз

Re: Москва. Ризен Арчи из Уфы, 5 лет

Сообщение Дима »

Анализ мочи.
Вложения
IMG-20220825-WA0000.jpg

Не в сети
Аватара пользователя
Сообщения: 21574
Зарегистрирован: 11 янв 2009, 11:20
Откуда: Москва
Благодарил (а): 5328 раз
Поблагодарили: 9633 раза
Контактная информация:

Re: Москва. Ризен Арчи из Уфы, 5 лет

Сообщение zver »

Белок в моче очень высокий, а его подмывали?

Глаза наверное можно делать, но лучше после спада жары. Все таки легкие еще не в норме.

Не в сети
Аватара пользователя
Сообщения: 8834
Зарегистрирован: 10 ноя 2013, 22:36
Благодарил (а): 566 раз
Поблагодарили: 4665 раз

Re: Москва. Ризен Арчи из Уфы, 5 лет

Сообщение Дима »

Ира, его подмывали. Что нам теперь делать с легкими и белком в моче? Кстати после укола от диро, у Арчи 4 дня не гноились глаза.
Ждем от тебя указаний по лечению.

Не в сети
Аватара пользователя
Сообщения: 21574
Зарегистрирован: 11 янв 2009, 11:20
Откуда: Москва
Благодарил (а): 5328 раз
Поблагодарили: 9633 раза
Контактная информация:

Re: Москва. Ризен Арчи из Уфы, 5 лет

Сообщение zver »

Это за счёт преднезалона.

Он же ещё на антибиотики? Тогда продолжаем пить и идём к офтальмологу
Закрыто

Вернуться в «Регистратура»